Merhaba;
Van Yüzüncü Yıl Üniversitesi Tıp Fakültesi’nde 7
yıl, Sağlık Bakanlığı İstanbul Süreyyapaşa Göğüs Hastalıkları ve
Göğüs Cerrahisi Eğitim ve Araştırma Hastanesi Göğüs Cerrahisi Kliniği (SGCK) ile İstanbul Yeditepe Üniversitesi Tıp Fakültesi’nin ortaklaşa yaptığı stajda 9
yıl olmak üzere toplam 16 yıl Tıp Fakültesi 4. veya 5. Dönem stajyerlerinin
eğitim işi ile bizzat ve bilfiil uğraştım, sorumluluğunu üstlendim.
SBÜ kadrosunda olduğum için ilk 3 yıl Hamidiye Tıp Fakültesi 5. sınıf öğrencilerine her stajda tek ders anlattım. 2022-2023 dönemi sonrası da Hamidiye Uluslararası Tıp Fakültesi stajında önce iki ders sonra da tek ders vermeye başladım. 2024-2025 Staj Dönemi'nde o verdiğim tek ders programdan çıkartıldı ve staj programında bana yer verilmedi. Keyfi bir kararla öğretim hakkım engellendi.
Yeni uzman (Yardımcı Doçent) olarak Van Tıp
Fakültesi’nde heyecanım vardı ama hiç eğitim tecrübem yoktu. Zaman içinde,
yıllar geçtikçe işi, işin içinde deneme yanılma yöntemi ile öğrendim. Ben
stajyerleri yetiştirirken, onlar da benim eğitici olarak yetişmeme vesile
oldular.
Van’da iken kendi videokameramla amatörce çektiğim
ameliyat videolarını staj sırasında öğrencilere izlettim, zira staj sırasında
ameliyat seyretmeleri yeterli değildi ve o yıllarda Youtube da yoktu. 1980’li
yıllarda Ankara Tıp Fakültesi’nde iken Göğüs Cerrahisi stajına ait ne bir
kitabımız ne de basılı ders notlarımız vardı. Derslerde iyi not tutan öğrenci
arkadaşların notlarının fotokopisi ile idare ediyorduk. 2002 yılında Van Tıp Göğüs
Cerrahisi ekibi olarak staj notlarını hazırlayıp üniversite matbaasında
bastırdık ve stajyerlere ücretsiz dağıttık. Bu basılı notların sonuna da 25
soruluk iki adet deneme sınavı eklemiştim.
Süreyyapaşa Göğüs Cerrahisi Kliniği (SGCK)’ne
başladıktan sonra staj eğitimi olmadı. Sadece Marmara Tıp, Pendik’deki yeni yerine
taşınırken Prof. Dr. Mustafa Yüksel’in talebi üzerine bir yıl boyunca stajyerlere
başasistan bir arkadaşımız ile bir günlük (yarım gün ameliyathane, yarım gün
teorik) staj programı düzenledim. Derken 2011 Haziran başında Başhekimlik
görevini üstlendiğim günün ertesi, Prof. Dr. Sina Ercan aradı, stajı SGCK’nde
yapıp yapamayacağımızı sordu. Ben de severek kabul ettim. Hep söyledim, yine
ikrar edeyim. Staj teklifi, başhekimlik teklifinden bile daha önemli ve
güzeldi, beni daha çok sevindirmişti.
Dokuz yıl boyunca bütün imkân, emek ve tecrübemi
ortaya koydum. Staj sorumlusu olarak SGCK’nde heyecanlı, istekli, dersine emek
& sevgisini katmış, motivasyonu yüksek geniş bir eğitim kadrosu oluşturdum.
Stajyerler için tam donanımlı müstakil klinik, her yıl yeniden revize edilen ve
güncellenen, zengin içerikli staj programı (giriş dersi gibi orijinal ders ve
pratikler) yaptım. Stajyerlere anlatılan tüm dersleri, geçmiş yıllardaki sınav
sorularını ve ilave olarak staj için gerekli olan tüm dokümanları dijital
ortamda stajyerlere her yıl takdim ettim. Hatta stajyerler daha staja
başlamadan onlara bilgilendirici e-posta gönderdim ve staja adım attıklarından itibaren,
staj boyunca ve yazılı & sözlü sınav boyunca dahi süren eğitim ortamı
oluşturdum. Stajı diğer ve benzer stajlardan farklı kılmak için elimden
geldiğince, gücüm yettiğince çaba sarfettim. Yazılı sınavları bizzat hazırlayıp
yazılı sorular vermeden yalnızca cevap kağıdı vererek slaytlarla projeksiyon
perdesinden sunarak espri bir yana çevreye duyarlı sınavlar yaptım. Sınav
birincisine hediye verip sınav ekibiyle ayrı fotoğraf çekinip başarıyı
özendirmek ve stajyerleri motive etmeye çalıştım. Her staj sonunda toplu
fotoğraf çekinip bu fotoları SGCK sosyal medya ortamında duyurdum.
Ve SGCK & Yeditepe Tıp Göğüs Cerrahisi Stajı’nın
10. Yılında bütün bu dersleri (bana ait olanları) ve soru hazinesini (benim
anlattığım derslere ait ve de başka konularda da hazırlamış olduğum soruları) bu
ülkedeki bütün Göğüs Cerrahisi Stajyerlerinin istifadesine sunmak istedim.
Dört yıl önce Göğüs Cerrahisi Stajyerlerine pandemi döneminde uzaktan eğitimle verdiğim üç ders kaydını Youtube'a koyup herkesin istifadesine sunmuştum. 2023 yılında bu 3 dersimi stajyerler ve uzmanlık öğrencileri için tekrar güncelledim. 2024 yılı içinde ise 5 konu daha hazırlayıp Youtube'a yükledim. Bu derslerin hepsi kırkar dakika olup üçü staj, uzmanlık ve uzmanlık sonrası eğitim için olup ikisi de uzmanlık ve uzmanlık sonrası eğitim içindi. Bu yıl ve 2026 yılı içerisinde yirmiyi aşkın konuyu daha hazırlayıp Youtube'da paylaşmak arzusundayım. Bu şekilde uzun zamandan beri kafamda olan "Göğüs Cerrahisi Okulu" projemi hayata geçirmiş olacağım nasipse. Muhtemelen "Göğüs Cerrahisi Okulu" bu ülkede bir ilk olacak.
GÖĞÜS CERRAHİSİ OKULU - PROF. DR. İRFAN YALÇINKAYA
İLK 8 DERS VİDEOSU LİNKİ; https://www.youtube.com/watch?v=YmLzMRh-Lss&list=PL5RCs8t1k7JS480Lz2NUuX4APIhr0mWEM 9. DERS VİDEOSU LİNKİ; https://www.youtube.com/watch?v=jjRNuR0N4PE&t=108s
Göğüs Cerrahisi Stajı Soru Hazinesi çalışmasında soruları
da bu ders konularına göre sınıflandırdım. Stajyerlerden tek ricam dersleri
dinledikten sonra konu ile ilgili sorulara bakıp cevaplamalarıdır. Sözlü sınavlarda
her stajyere benim radyografi arşivimden bir röntgenogram ya da BT kesitleri
soruyorduk. Fakat bir sınavdan sonra öğrencilerin unutup bıraktığı bir kağıda
baktığımda birbirlerine bütün radyografilerdeki tanıların liste halinde ne
olduklarını yazıp aktardıklarını fark ettik ve radyografileri sormayı bırakıp
onları stajyerlere verip yeni film arşivi oluşturduk. Soru hazırlamak çok zordur,
TUS’da bile onca titizlik ve profesyonelliğe rağmen her yıl iptal edilen
sorular vardır. Sorularla ilgili bir yazım ya da bilgi hatasını gördüğünüz
takdirde bana e-posta ile iletmenizi rica ederim, böylece düzeltme imkânım
olur. Sorular, bir konunun iyi anlaşılıp anlaşılmadığını görmek ve o konuda
önemli noktaların vurgulanıp altının çizilmesi bakımından önemlidir. Öğrenmenin
yollarından biri de soru sormak olduğu gibi soru çözmektir. Fakat soru ve cevap
ezberleme yerine konunun anlaşılması daha önemlidir. Soruları 16 yıl içinde
oluşan arşivimi gözden geçirerek hazırlamaya çalıştım. Sorulara son bir kez
çeki düzen vermek oldukça zamanımı aldı ama bu gayrete değeceğini düşünüyorum.
Bu çalışmayı derslerimin yayınını tamamlayan bir şey olarak görüyorum. Bu
vesile ile kafamda mevcut olan TUS sınavında çıkan ve Göğüs Cerrahisini
doğrudan ya da dolaylı olarak ilgilendiren son 15 yılın sorularını da bulup
çıkardım ve düzenledim.
Göğüs Cerrahisi Stajyer Soru Hazinesi’nde zaman
içinde kendi hazırladığım sorulardan seçtiğim 183, yeni hazırladığım (06.10.2022) 21 soru (toplam 204 soru) ve son 15 yılda TUS
sınavlarında sorulan 117 soru olmak üzere toplam 321 soru mevcuttur. Aslında
bana sorarsanız bir staj sonu yazılı sınavı öyle olmalı ki, stajyerler
önlerinde ders notlarını ve her türlü kitabı bulundurabilmeliler ve
birbirlerinden yardım alma!? dışında kopya serbest olmalı!?. Ezber sorusu
olmamalı, hepsi konuyu anlamaya yönelik analiz ve vaka soruları olmalı (ki
radyografi ve vaka sorularının tamamı benim arşivime aittir). Stajyerlere her
stajda dediğim gibi stajdan azami faydalanmaya bakın, bilgi ve tecrübe
heybenizi doldurabildiğiniz kadar doldurmaya çalışın. Ve hepsi de aynı zamanda
birer öğrenci olan öğretmenlerinizi, hocalarınızı zorlayın, rahat bırakmayın,
sorularla bunaltın, onları tabiri caizse sağın, almanız gerekeni alın. Zira
herkes bir şekilde çok özel bir durum olmadıkça stajı geçecek, fakülteyi
bitirecek. Ve hepimizi poliklinikte, klinikte, laboratuarda, ameliyathanede,
acil serviste ve elbette hayatın içinde asıl sınav, gerçek sınav bekliyor. Ne
mutlu bu sınavı yüz akıyla ve hakkıyla verebilenlere.
ÖNEMLİ NOT: Bugüne kadar gerek stajyerlerimizin gerekse e-posta ile soruların cevaplarını isteyenlere olumsuz yanıt vermiştim. Nedeni de kolaycılığa ve ezberciliğe yol açmamaktı. İstedim ki stajyer ya da asistanlar önce anlattığım derslerimi dinlesinler, slaytlarımı incelesinler, yine erişime açtığım derslerimin videolarını izlesinler. Staj sonuna kadar edindikleri bilgileri yoklamak ve eksiklerini gidermek ve de staj sonu sınav için sorulara baksınlardı. Amacımın hasıl olduğunu düşünüyorum ve soruların sonuna kendi cevaplarınızı doğru cevaplarla karşılaştırabilmeniz için cevap anahtarını koyuyorum. Bu kararımı gözden geçirip değiştirmemde son bir haftada bir stajyer ve bir asistanın benden cevapları rica etmesi etkili oldu. Sizden istirhamım, soruları YouTube Kanalımdaki Göğüs Cerrahisi Okulu'mdaki dersleri izledikten sonra (ki staja başlarken ilk ders videosu olarak “Göğüs Cerrahisi’ne Giriş” dersimi özellikle izlemenizi tavsiye ederim) ve elbette staj sonundaki sınavdan önce cevaplamanız ve sonrasında da sonda verilen cevaplarla kontrol edip yanlış ve eksik bilgilerinizi tamamlamanızdır. Soru çözmek elbette bir öğrenme metodudur ama en sağlıklı öğrenme metodu, hocalarınızın anlattıkları dersleri can kulağı ile dinleyip dersi derste öğrenmeniz, varsa kliniğinizin yoksa internette rahatlıkla bulabileceğiniz bir staj ders kitabı ya da notlarını son bir kez okumanız çok önemlidir. Sizlerden ricam sorular ve cevaplarla ilgili aklınıza takılan ya da saptadığınız eksik veya hata varsa bana bildirmenizdir. Umarım bu çabam boşa gitmez, sizlere faydalı ve hayırlı olur.
10.08.2025 / Prof. Dr. İrfan Yalçınkaya
GÖĞÜS
CERRAHİSİ STAJI SORU HAZİNESİ – PROF. DR. İRFAN YALÇINKAYA
GÖĞÜS CERRAHİSİ’NE GİRİŞ
1.
Sanatoryum,
uzun dönemli tedavi gerektiren hastalıklara sahip, özellikle hangi hastaların
iyileştirilmesi için kurulmuş bir sağlık kuruluşudur?
a)
Lepra
b)
Sıtma
c)
Tüberküloz
d)
Kanser
e)
KOAH
2.
Ülkemizde
açılmış aşağıda isimleri sayılan sanatoryumlardan hangisi kapatılmıştır?
a)
İstanbul
Süreyyapaşa
b)
Ankara
Atatürk
c)
İzmir
Dr. Suat Seren
d)
İstanbul
Heybeliada
e)
İstanbul
Yedikule
3.
Göğüs
boşluğunda bulunan aşağıdaki yapılardan hangisinin hem boyun hem de abdominal
kısmı mevcuttur?
a)
Trakea
b)
Aort
c)
Diyafram
d)
Özofagus
e)
Plevra
4.
Aşağıdaki
hastalıklara maruz hastalardan hangisi istisnalar dışında genelde ilk
başvurusunu bir göğüs cerrahisi uzmanına yapmaz?
a)
Hiperhidrozis
b)
Pektus
ekskavatum
c)
Göğüs
travması
d)
Akciğer
ameliyatı geçirmiş hasta
e) Akciğerde nodül
5.
Hangi
hastalık, temel / koruyucu sağlık hizmetleri yeterli olsa ve kültürel /
sosyoekonomik şartlar düzeltilse dahi azaltılıp / önlenemeyebilir?
a)
Bronşektazi
b)
Tüberküloz
c)
Akciğer
hidatik kisti
d)
Spontan
pnömotoraks
e)
Akciğer
kanseri
6.
‘Cerrahiyet’ul
Haniyye’ adlı kitap hangi hekime aittir?
a)
İbn-i
Sina
b)
İbn-i
Nefs
c)
Sabuncuoğlu
Şerefeddin
d)
Ebubekir
Razi
e)
Cemil
Topuzlu Paşa
7.
Göğüs
Cerrahisi’nin kapsamına hangi organ / yapı’nın hastalıkları dahil değildir?
a)
Mediyasten
b)
Trakea
c)
Kalp
d)
Diyafram
e)
Özofagus
8.
Hangi
ilke “Hipokrat Yemini”nde yer almamasına rağmen, günümüzde diğerleri kadar önem
kazanmıştır?
a)
Hak
ve yetkileri kötüye kullanmayacağıma
b)
Hocalarıma
ve meslekdaşlarıma saygı göstereceğime
c)
Paranın,
kar hırsının, performans kaygısının hastaya yaklaşımda, karar vermede etkili
olmayacağına
d)
İnsan
hayatına mutlak surette saygı göstereceğime
e)
Din,
milliyet, cinsiyet, ırk ve parti farklarının görevimle vicdanım arasına
girmesine izin vermeyeceğime
9.
Göğüs
Cerrahisi’nin özelliklerine dair bilgilerden hangisi yanlıştır?
a)
Tanıya
yönelik işlemler basitten ileri, ucuzdan pahalıya, noninvazivden invaziv
yöntemlere doğru bir sıralama (algoritma) izlemelidir.
b)
Yalnız
sigara içiminin önlenmesi bile birçok akciğer hastalığını önemli ölçüde
azaltır.
c)
Göğüs
hastalıklarının birçoğu kronik hastalık olduğundan tedavisi zor ve zaman
alıcıdır.
d)
Toraks
travması, Masif hemoptizi, Spontan pnömotoraks ve Trakeobronşial ve özofageal
yabancı cisimler olmak üzere başlıca dört acil hastalığı mevcuttur.
e)
Trakea
ve diyafram hastalıkları göğüs cerrahisi hastalıklarının neredeyse 2/3’ünü
teşkil eder.
10. Aşağıdakilerden
hangisi Göğüs Hastalıkları’nın tanısında günümüzde önemini hemen hemen tümüyle
yitirmiştir?
a) İnspeksiyon
b) Palpasyon
c) Perküsyon
d) Oskültasyon
e) Anamnez
11. Göğüs
Cerrahisinin ilgi alanında olup da Göğüs Hastalıkları’na hemen hiç başvurmayan
hasta grubu hangisidir?
a)
Trakeobronşiyal
yabancı cisim
b)
Özofagus
leiomyomu
c)
Hiperhidrozis
d)
Göğüs
deformitesi
e)
Nörojenik
tümör
12. Hangi şıktaki
tedbir, diğer tüm hastalıklar gibi göğüs hastalıkları ve cerrahisine ait
hastalıkların da azaltılması/önlenmesinde daha az etkilidir?
a)
Temel
sağlık hizmetlerinin bütün toplumu kapsayacak şekilde düzenlenmesi
b)
Eğitim
yoluyla halkın sağlık bilincinin geliştirilmesi
c)
Ülkenin
içinde bulunduğu sosyoekonomik koşulların düzeltilmesi
d)
Tıp
fakültelerinin sayı ve kontenjanlarının arttırılması, çok yatak kapasiteli dev
hastanelerin yapılması
e)
Koruyucu
sağlık hizmetlerinin öncelenmesi ve gereken önemin verilmesi
13. Göğüs Cerrahisi,
spesifik bir branş olduğundan genelde diğer branşların değerlendirmesinden
sonra hastaların başvurduğu bir branştır. Hangi hastalıkta göğüs cerrahisi
polikliniğine doğrudan müracaat söz konusu olabilir?
a)
Hiyatal
herni
b)
Kolorektal
kanserin akciğere metastazı
c)
Torasik
outlet sendromu
d)
Myastenia
gravis
e)
Göğüs
deformitesi
14. Göğüs
Cerrahisi’nin aşağıdakilerden hangi branşla, hasta alışverişi ya da ortak
cerrahi girişimi yok denecek kadar azdır?
a)
Nöroloji
b)
Gastroenteroloji
c)
Pediyatrik
Cerrahi
d)
Genel
Cerrahi
e)
Üroloji
15. Göğüs
Cerrahisi’nin özelliklerine dair ifadelerden hangisi yanlıştır?
a)
Meme,
göğüs duvarı üzerinde yer almasına rağmen hastalıkları genel cerrahinin
kapsamına girer.
b)
Standart
akciğer grafisi rutindir. Radyolojik incelemenin ilk basamağıdır. Anamnez ve
fizik muayene şarttır fakat yanılmak mümkündür, o nedenle değerlendirme için
önemlidir.
c)
Tüberküloz,
ampiyem, akciğer hidatik kisti, bronşektazi,
akciğer kanseri, KOAH başta olmak üzere birçok hastalık tamamen veya
büyük ölçüde önlenebilir.
d)
Teşhis
için cerrahi yöntemlere gereksinme olabildiği gibi, çoğu zaman teşhis ve tedavi
birlikte gerçekleştirilir.
e)
Polikliniğe
akciğer kanseri dışında doğrudan müracaat eden hasta sayısı yok denecek kadar
azdır.
16. Göğüs
travmasında hangi organ /yapı’nın patolojilerinin tanısında fizik muayenenin
yeri daha fazladır?
a)
Diyafram
b)
Trakeobronşiyal
ağaç
c)
Göğüs
duvarı
d)
Özofagus
e)
Akciğer
17. Aşağıdakilerden hangisi Youtube kanalımda hazırlayıp yayınladığım ve Atatürk Sanatoryumu’na ait olan belgesel dokümanter çalışmalardan biri değildir?
a) Dr. Güven Çetin Belgeseli
b) ‘Op. Dr. H. Yaşar Erol’ Anısına
c) ‘Prof. Dr. Ş. Tuba Liman’ Anısına
d) Ankara Atatürk Sanatoryumu Göğüs Cerrahisi Kliniği Hekimlerinden Yitirdiklerimizin Ardından
e) Türkiye’de Göğüs Cerrahisi’nde Aramızdan Ayrılan Hekimlerin Anısına
18. Göğüs
Cerrahisi’nin hastalıkları ile uğraştığı aşağıdaki yapılardan hangisi sistem
yönünden diğerlerinden farklıdır?
a)
Trakea
b)
Diyafram
c)
Akciğer
d)
Özofagus
e)
Plevra
19. Osmanlı’dan Cumhuriyet’e
uzanan süreçte, tıp eğitiminin gelişmesinde büyük katkıları olan, kitap
(observationes medicales) ve makalelerinde göğüs cerrahisi ile ilgili
girişimleri de ele alan ve İstanbul belediye başkanlığı görevinde de bulunmuş
hekimimizin adı nedir?
a)
Cemil
Topuzlu Paşa
b)
İbn-i
Sina
c)
Siyami
Ersek
d)
Sabuncuoğlu
Şerefeddin
e)
Rudolphe
Nissen
20. Süreyyapaşa
Hastanesi ve Süreyyapaşa Göğüs Cerrahisi Kliniği (SGCK) ile ilgili bilgilerden
hangisi yanlıştır?
a)
Hastane
ismini, sağlık kurumu olması amacıyla sınırları içinde yer aldığı araziyi
vakfeden Süreyya İlmen Paşa’dan almıştır.
b)
Ülkemizdeki
üç büyük şehirdeki dört büyük göğüs hastalıkları hastanesinden biridir.
c)
SGCK,
Türkiye’de Göğüs Cerrahisi alanında ameliyat sayısı açısından ilk sıralarda yer almaktadır.
d)
Türkiye’de
“ilk başarılı akciğer nakli” Süreyyapaşa Hastanesi’nde yapılmıştır.
e)
İstanbul’un
Maltepe ilçesi sınırları içerisinde genel bir eğitim ve araştırma hastanesi
olup, “akciğer’e dair herşey” uğraş alanı içerisindedir.
21. Hangi göğüs
cerrahisi patolojisinde hastanın meslek, madde bağımlılığı ve yaşadığı yerin
tanıda fazla önemi yoktur?
a)
Özofagus
kanseri
b)
Malign
mezotelyoma
c)
Akciğer
kanseri
d)
Akciğer
hidatik kisti
e)
Diyafram
evantrasyonu
22.
Tarihimizde
yer alan aşağıda isimlerden hangisinin, göğüs cerrahisinin gelişiminde tıbbi
açıdan katkısı yoktur?
a)
Rudolphe
Nissen
b)
Sabuncuoğlu
Şerefeddin
c)
Prof. Dr. Siyami Ersek
d)
Cemil
Topuzlu Paşa
e)
Süreyya İlmen Paşa
23. Hangi mesleki anı kitabı, Göğüs Hastalıkları ve Cerrahisi Dalı uzmanlarından birine ait değildir?
a) 80 Yıllık Hatıralarım – Opr. Dr. Cemil Topuzlu
b) Bu Doktoru Rehin Alalım – Prof. Dr. Yusuf İzzettin Barış
c) İki Nefes Arasında – Prof. Dr. Hasan Fevzi Batırel
d) Benim Yolum – Prof. Dr. İrfan Yalçınkaya
e) Doktor Ne Yaşar Ne Yaşamaz – Prof. Dr. Şaban Şimşek
DİYAFRAM HASTALIKLARI VE CERRAHİSİ
1.
Morgagni
hernisinde günümüzde özellikle tercih edilen cerrahi yaklaşım hangisidir?
a)
Torakotomi
b)
Torakoskopi
c)
Laparotomi
d)
Laparoskopi
e)
Torakoabdominal
kesi
2.
Diyaframa cerrahi yaklaşımda aşağıdaki yollardan hangisi kullanılmaz?
a)
Frenotomi
b)
Torakotomi
c)
Torakoskopi
d)
Laparotomi
e)
Laparoskopi
3.
Diyafram
hernilerinin hangisinde tanı ve değerlendirme için fleksibl özofagogastroskopi
de yapılır?
a)
Morgagni
hernisi
b)
Bochdalek
hernisi
c)
Travmatik
diyafram hernisi
d)
Paraöozofageal
herni
e)
Hiçbiri
4.
Diyafram
paralizisine yol açabilen hangi patolojide diyaframa pil yerleştirilmesi
uygulanması endikasyonu olabilir?
a)
Akciğer
kanseri
b)
Malign
timoma
c)
Koroner
by-pass
d)
Cerrahi
girişim
e)
Amyotrofik
lateral skleroz
5.
Diyaframa
ait patolojilerin diyaframa komşu yapılara ait patolojilerden ayırt
edilebilmesi için ayırıcı tanıda hangi yöntem diğerlerine göre fazla faydalı
olmaz?
a)
Toraks
BT
b)
Toraks
MR
c)
Fluoroskopi
d)
Video
yardımlı torakoskopi
e)
Video
yardımlı laparoskopi
6.
Aşağıdaki
diyafram patolojilerinden hangisinde cerrahi endikasyon olmayabilir?
a)
Diyaframın
benign tümörü
b)
Diyaframın
malign tümörü
c)
Mezankimal
tümörün diyafram tutulumu
d)
Akciğer
kanserinin diyafram invazyonu
e)
Diyafram
evantrasyonu
7.
Diyafram
evantrasyonu ile karışma ihtimali olmayan hastalık hangisidir?
a)
Travmatik
diyafram rüptürü
b)
Perikardiyal
kist
c)
Timolipom
d) Ankiste plevral sıvı
e)
Sliding
herni
8.
Diyaframa
ait cerrahi terimlerden hangisi yanlıştır?
a)
Diyaframın
total rezeksiyonu
b)
Diyafram
rekonstrüksiyonu
c)
Diyafram
perforasyonu
d)
Frenorafi
e)
Frenotomi
9.
Diyafram
plikasyonunda hem açık hem de kapalı (torakoskopik) cerrahinin avantajlarını
bir arada bulunduran yöntemin adı nedir?
a)
Torakotomi
b)
VATS
c)
Robotik
cerrahi
d)
Hibrid
yöntem (Video yardımlı mini torakotomi)
e)
Laparoskopi
10.
Bir
yıl önce koroner by-pass ameliyatı olan hastada, o zamanki preoperatif dönemde
çekilen akciğer grafisi normal iken, postoperatif dönemdeki ve halihazırda
çekilen filminde sağda diyafram elevasyonu mevcut. Eforla artan dispne şikayeti
ile size başvuran hastada tanı ve tedavide ne düşünürsünüz?
a)
Diyafram
paralizisi – Fundoplikasyon
b)
Diyafram
paralizisi – Pil uygulaması
c)
Diyafram
evantrasyonu – Plikasyon
d)
Diyafram
paralizisi – Plikasyon
e)
Diyafram
evantrasyonu – Bronkodilatör tedavi
11. Bilgisayarlı
Toraks Tomografi kesiti altta verilen hastada diyafram patolojisi ne olabilir?
a)
Bochdalek
hernisi
b)
Morgagni
hernisi
c)
Sliding
herni
d)
Paraözofageal
herni
e)
Mikst
herni
12. Trafik kazası
geçiren hastaya göğüs tüpü takılıyor. Drenaj sonrası akciğer grafisi altta görülen bu hastada tanı olarak ne düşünürsünüz?
a)
Hemopnömotoraks
b)
Lokalize
plevral efüzyon
c)
Diyafram
rüptürü
d)
Trakeobronşiyal
rüptür
e)
Özofagus
rüptürü
13. Diyafram
patolojilerinden hangisine istisnai vakalar dışında abdominal yolla
yaklaşılmaz?
a)
Morgagni
hernisi
b)
Diyaframa
pil uygulaması
c)
Travmatik
diyafram rüptürü
d)
Hiyatal
herni
e)
Diyafram
evantrasyonu
14. Diyafram ile
ilgili bilgilerden hangisi yanlıştır?
a)
Muskülotendinöz
bir yapıdır
b)
Anatomik
fonksiyonu, göğüs ve batın boşluklarını birbirinden ayırmaktır
c)
Fizyolojik
fonksiyonu, ventilasyondaki rolüdür
d)
İnspirasyonu
sağlayan en önemli solunum kasıdır
e)
Sakin
solunumda, akciğerlere giren toplam havanın % 40-45’i diyafram sayesinde olur
15. Diyafram
hernilerinden hangisi doğumsaldır?
a)
Paraözofageal
herni
b)
Bochdalek
hernisi
c)
Sliding
herni
d)
Travmatik
diyafram hernisi
e)
Diyafram
paralizisi
16. Bir yıl önce
ağaçtan düşen bir hastada sağda diyafram rüptürü ve herniyasyon saptandı. Doğru
tedavi yaklaşımı ne olmalıdır?
a)
Torakotomi
b)
Video-yardımlı
torakoskopik cerrahi
c)
Laparotomi
d)
Laparoskopik
cerrahi
e)
Median
sternotomi
17. Alttaki resimde
diyafram patolojileri lokalizasyonlarına göre (x-y-z) hangi şıkta doğru
sıralanmıştır?
a)
Bochdalek
hernisi – Morgagni hernisi – Hiyatal herni
b)
Morgagni
hernisi – Bochdalek hernisi – Hiyatal herni
c)
Morgagni
hernisi – Hiyatal herni – Bochdalek hernisi
d)
Bochdalek
hernisi – Hiyatal hernisi – Morgagni hernisi
e)
Hiyatal
herni – Morgagni hernisi – Bochdalek hernisi
18. Kırk yaşında,
bilinen bir rahatsızlığı olmayan hasta apendektomi operasyonu için
hazırlanmaktadır. Rutin akciğer grafisinde kardiyak gölgede genişleme
görülmüştür. Toraks tomografisinde substernal bölgede omentum dokusunu andıran
yağlı dokular saptanmıştır. Olası tanınız nedir?
a)
Morgagni
hernisi
b)
Bochdalek
hernisi
c)
Sliding
herni
d)
Paraözofageal
herni
e)
Mikst
tip herni
19. Pulmoner
hipoplazi ile birlikte olabilen diyafram patolojisi aşağıdakilerden hangisidir?
a)
Morgagni
hernisi
b)
Diyafram
evantrasyonu
c)
Bochdalek
hernisi
d)
Paraözofageal
herni
e)
Diyafram
tümörü
20. Hangi diyafram
patolojisinde kesinlikle cerrahi endikasyon vardır?
a)
Sliding
hiyatal herni
b)
Diyafram
evantrasyonu
c)
Diyafram
paralizisi
d)
Travmatik
diyafram rüptürü
e)
Morgagni
hernisi
21. Erişkinde
görülebilen diyafram patolojilerinin hangisinde video-yardımlı torakoskopi /
laparoskopi kullanılmaz?
a)
Diyafram
evantrasyonu
b)
Diyafram
rüptürü
c)
Bochdalek
hernisi
d)
Morgagni
hernisi
e)
Sliding
herni
22. Diyafram
patolojilerinin hangisinde patoloji daha çok sağ tarafta görülür?
a)
Travmatik
diyafram rüptürü
b)
Bochdalek
herni
c)
Morgagni
hernisi
d)
Diyafram
evantrasyonu
e)
Diyafram
paralizisi
23. Diyaframın
aşağıdaki patolojilerinin hangisinde radikal cerrahide, diyaframın parsiyel
veya total olarak rezeke edilmesine gerek yoktur?
a)
Malign
mezotelyoma
b)
Akciğer
kanserinde diyafram tutulumu
c)
Malign
mezankimal tümörlerin diyaframa invazyonu
d)
Diyafram
fibrosarkomu
e)
Diyafram
evantrasyonu
24. Diyaframa pil
uygulaması (pacemaker) hangi hastalıkta seçilmiş uygun hastalarda
uygulanmaktadır?
a)
Koroner
by-pass cerrahisine bağlı diyafram paralizisi
b)
Akciğer
kanserine bağlı diyafram paralizisi
c)
Malign
timomaya bağlı diyafram paralizisi
d)
Amiyotrofik
lateral skleroz
e)
Multipl
skleroz
25. Diyafram elevasyonunun,
evantrasyon ya da paralizi olup olmadığı hangi inceleme ile rahatlıkla olarak
ortaya konulur?
a)
Magnetik
rezonans inceleme
b)
Ultrasonografi
c)
Fluoroskopi
d)
Elektromiyografi
e)
Bilgisayarlı
toraks tomografisi
26. Diyafram
evantrasyon / paralizisi saptanan bir hastada hangi semptom / inceleme cerrahi
endikasyona karar vermede en fazla etkilidir?
a)
Efor
dispnesi
b)
Solunum
fonksiyon testinde FEV1 ve FVC değerlerinin düşüklüğü
c)
Obstrüktif
uyku apne sendromu
d)
Gastrointestinal
şikayetler
e)
Diyafram
yüksekliği
27. Travmatik
diyafram rüptürü düşünülen bir vakada, hangi durumda torakotomi / torakoskopi
ile yaklaşım uygulanmayıp laparotomi / laparoskopi uygulanması daha uygun olur?
a)
Hemo
ve/veya pnömotoraks eşlik ediyorsa
b)
Kronik
vaka
c)
Diyafram
rüptürünün sağda olması
d)
Diyafram
evantrasyonu olma ihtimali varsa
e)
Abdomende
kanama ihtimali varsa
28. Preoperatif ve
postoperatif radyografileri altta verilen hastada VATS eşliğinde mini
torakotomi ile işlem uygulanmıştır. Tanı ne olabilir?
a) Bochdalek
hernisi
b) Morgagni
hernisi
c) Diyafram
evantrasyonu
d) Sliding
hiyatal herni
e) Paraözofageal
hiyatal herni
29. Preop, perop ve
postop görüntüleri altta olan hastada, hangi patoloji mevcuttur?
a)
Diyafram
rüptürü
b)
Morgagni
hernisi
c)
Sliding
herni
d)
Karaciğer
kisti
e)
Diyafram
evantrasyonu
30. Hangi diyafragma
hernisinde semptom olsa bile ilk planda cerrahi düşünülmez?
a)
Bochdalek
hernisi
b)
Travmatik
diyafragma hernisi
c)
Sliding
herni
d)
Morgagni
hernisi
e)
Paraözofageal
herni
31. Diyafram
rüptürüne bağlı herni düşünülen bir vakada tedavide ilk ve acil yapılacak işlem
nedir?
a) Toraks BT çekilmesi
b) Nazogastrik sonda takılması
c) Kapalı göğüs tüpü drenajı
d) Parenteral beslenme başlanması
e) Antibiyotik profilaksisi
32. Diyafram
evantrasyonu tanısında özellikle sağ diyaframı hareketlerini incelemede ve
diyafram kalınlığını ölçmede son yıllarda kullanılan en önemli tetkik
hangisidir?
a) BT
b) MR
c) Floroskopi
d) USG
e) VATS
33. Aşağıdaki
hernilerden hangisi diyafram ile ilişkili değildir?
a) Morgagni hernisi
b) Sliding herni
c) Bochdalek hernisi
d) Paraözofageal herni
e) Umbilikal herni
34. Laparokopik
fundoplikasyon hangi hastalıkta uygulanmaz?
a) Gastroözofageal reflü
b) Akalazya
c) Sliding herni
d) Morgagni hernisi
e) Paraözofageal herni
35. Torakoabdominal
yaralanmalarda meme başının altındaki ve göbek deliği üstündeki yaralanmalarda
akılda tutulması gereken patoloji aşağıdakilerden hangisidir?
a) Karaciğer
yaralanması
b) Dalak
yaralanması
c) Mide
rüptürü
d) Diyafram
rüptürü
e) Kalp
yaralanması
36. Diyaframa ait
patolojilerden hangisinin tanı ve tedavisi acildir?
a) Morgagni
hernisi
b) Sliding
herni
c) Diyafram
evantrasyonu
d) Paraözofageal
herni
e) Diyafram
paralizi
37. Diyafram evantrasyonunda
son yıllarda ve günümüzde en çok kullanılan cerrahi yaklaşım nedir?
a) Torakotomi
b) Laparotomi
c) VATS
d) Video-yardımlı
laparoskopi
e) RATS
38. Diyaframla ilişkili hangi
yapının açıklığından herniasyon gelişebilir?
a) VCI
b) Aort
c) Özofagus
d) Trunkus
coeliacus
e) VCS
39. Plikasyon yöntemi hangi
diyafram patolojisinde uygulanır?
a) Morgagni
hernisi
b) Travmatik
diyafram hernisi
c) Paraözofageal
herni
d) Diyafram
evantrasyonu
e) Sliding
herni
40. Aşağıdaki diyafram
patolojilerinden hangisi genellikle
incidental (rastlantısal) saptanır?
a) Bochdalek
hernisi
b) Diyafram
evantrasyonu
c) Sliding
herni
d) Paraöozofageal
herni
e) Travmatik
diyafram hernisi
41. Uyku bozuklukları ile
ilişkili olabilen diyafram patolojisi hangisidir?
a) Sliding
herni
b) Morgagni
hernisi
c) Diyafram
evantrasyonu
d) Bochdalek
hernisi
e) Paraözofageal
herni
ÖZOFAGUS HASTALIKLARI VE CERRAHİSİ
1.
Özofagusa
ait patolojilerden hangisi hem doğumsal olabilen hem de erişkinlerde
görülebilen patolojilerden değildir?
a)
Bronkoözofageal
fistül
b)
Özofageal
web
c)
Özofagus
atrezisi
d)
Divertikül
e)
Striktür
2.
Paradoksal
disfaji, kuş gagası şeklinde radyolojik görünüm ve per-oral endoskopik miyotomi
hangi özofagus hastalığını akla getirir?
a)
Leiomyom
b)
Divertikül
c)
Kanser
d)
Akalazya
e)
Korosiv
madde alımı
3.
Schatzki
halkası, Zenker terimleri hangi özofagus patolojisini akla getirir?
a)
Hiyatal
herni
b)
Gastroözofageal
reflü
c)
Akalazya
d)
Divertikül
e)
Striktür
4.
Özofagus
leiomyom tedavisinde istisnai durumlar dışında hangi cerrahi yöntem yer
almaz?
a)
Endoskopik
rezeksiyon
b)
VATS
c)
Robotik
cerrahi
d)
Torakotomi
e)
Özofagus
rezeksiyonu
5.
Özofagus
perforasyonuna yol açabilen aşağıdaki nedenlerden hangisi etyolojide en az
sıklıkla yer alır?
a)
Endoskopik
girişim
b)
Endotrakeal
tüp yerleştirilmesi
c)
Cerrahi
girişim
d)
Koroziv
madde alımı
e)
Künt
toraks travması
6.
Aşağıdaki
radyolojik bulgulardan hangisine özofagus perforasyonunda en az
rastlanır?
a)
Mediastinal
amfizem
b)
Mediastinal
genişleme
c)
Hidropnömotoraks
d)
Hidrotoraks
e)
Pnömotoraks
7.
Özofagus
perforasyonu gelişen vakaların tedavisinde ilk 24 saat içerisinde
aşağıdaki yöntemlerden hangisinin yeri vardır?
a)
T-tüp
drenaj
b)
Primer
tamir
c)
Stent
d)
Sadece
drenaj
e)
Eksklüzyon
ve diversiyon
8.
Özofagus
kanseri tanısında aşağıdaki tetkiklerden hangisi mutlaka istenmesi gerekli
tetkikler arasında değildir?
a)
Akciğer
grafisi
b)
Toraks
BT
c)
PET-BT
d)
Fileksibl
özofagogastroduedonoskopi
e)
Toraks
MR
9.
Özofagusun
koroziv yanıklarında tedavide ne yapılmaz?
a)
Hasta
kusturulmaz
b)
Nazogastrik
sonda önerilmez
c)
İlk
değerlendirmede oral alım kesilir
d)
İlk
24 saatte özofagoskopi yapılabilir
e)
Hemen
dilatasyona başlanır
10. Radyolojik
tanınız nedir?
a) Divertikül
b) Akalazya
c) Özofagus
kanseri
d) Leiomyom
e) Diyafram
hernisi
11. Mediastende hava
saptanması durumunda hangi patoloji düşünülmez?
a)
Özofagus
rüptürü
b)
Trakeobronşiyal
rüptür
c)
Diyafram
rüptürü
d)
Spontan
pnömomediastinum
e)
Spontan
pnömotoraks
12. 33 yaşında, altı
aydır aralıklı yutma güçlüğü var, endoskopide özofagus mukozası normal,
submukozal kitleden bahsediliyor, toraks BT’si de görülen hastada olası tanınız
nedir?
a)
Özofagus
kanseri
b)
Aort
anevrizması
c)
Lenfadenopati
d)
Özofagus
leiomyomu
e)
Morgagni
hernisi
13. Radyolojik
tanınız nedir?
a) Divertikül
b) Akalazya
c) Özofagus
kanseri
d) Leiomyom
e) Diyafram
hernisi
14. 25 yaşında bayan
hasta. Sezaryan ameliyatından iki gün sonra ateş, dispne ve huzursuzluk
şikayeti dikkat çekiyor. Akciğer grafisinde sağda hidropnömotoraks saptanıyor.
Öntanıda öncelikle ne düşünürsünüz?
a) Trakeobronşiyal
rüptür
b) Katamenial
pnömotoraks
c) Özofagus
rüptürü
d) İyatrojenik
hemopnömotoraks
e) Diyafram
rüptürü
15. Özofagus
patolojilerine ait uygulanan ameliyat şekli hangi şıkta yanlıştır?
a)
Leiomyom
– Enükleasyon
b)
Akalazya
– Modifiye Heller (Myotomi)
c)
Divertikül
– Divertikülektomi
d)
Özofagus
ca – Özofajektomi
e)
Özofagus
kisti – Kistotomi+Kapitonaj
16. Özofagus
kanserine transhiyatal (Orringer) yaklaşımda hangisi yoktur?
a)
Laparotomi
b)
Torakotomi
c)
Servikal
kesi
d)
Özofajektomi
e)
Özofagogastrostomi
17. Servikal
özofagusda kanser olan bir vakada hangi işlem olmadan da cerrahi uygulanabilir?
a)
Torakotomi
b)
Laparotomi
c)
Servikal
kesi
d)
Özofajektomi
e)
Özofagogastrostomi
18. Göğüs
Cerrahisinde enükleasyon hangi patolojilerde cerrahi tedavi yöntemi olarak kullanılmaz?
a)
Hamartom
b)
Bronkojenik
kist
c)
Özofagus
leiomyomu
d)
Akciğer
hidatik kisti
e)
Akciğerde
metastatik nodül
19. Özofagus
leiomyomunu özofagus kanserinden ayıran en önemli bulgu hangisidir?
a) Progressiv
disfaji
b) Endoskopide
özofagus mukozasının normal olması
c) Paradoksal
disfaji
d) Hastanın Doğu
Anadolu’da antik ‘İpek yolu’ dışındaki bir şehirde yaşaması
e) Sigara ve
alkol kullanmak
20. 82 yaşında erkek
hasta, Van’da oturuyor, 1 aydır epigastrik ağrı, ekşime, yanma ve yutma güçlüğü
şikayeti var. Yapılan özofagoskopide kesici dişlerden itibaren 30. cm’de lümeni
tama yakın kapatan, frajil, vejetan kitle saptanmış, biyopsi yapılmamış. Elinde
başka bir tetkiki yok. Bundan sonraki yaklaşınız ne olmalıdır?
a)
Özofagus
kanseri düşünür, evreleme için Toraks BT isterim.
b)
Özofagus
kanseri düşünür, evreleme için PET-BT isterim.
c)
Özofagus
kanseri düşünür, özofagoskopiyi tekrarlar, biyopsi yapılmasını isterim,
evreleme için PET-BT isterim.
d)
Özofagus leiomyomu düşünür, özofagus
endosonografisi isterim.
e)
Özofagus
leiomyomu düşünür, evreleme için PET-BT isterim.
21. 71 yaşında bayan
hasta; öksürük ve boğulma hissi mevcut; baryumlu özofagus grafisinde (altta) C7 vertebra seviyesinde özofagus posteriorunda 3x2x2 cm boyutlarında dar
boyunlu cep şeklinde oluşum; endoskopide 1. darlığın proksimalinde kese
şeklinde oluşum; tanı ne olabilir?
a)
Zenker
divertikülü
b)
Parabronşiyal
divertikül
c)
Epifrenik
divertikül
d)
Akalazya
e)
Bronkoözofageal
fistül
22. Toraksın 1/3
orta kısmında lokalize olan ve aort invazyonu şüphesi olan bir özofagus kanser
vakasında ilk önce hangi kesi ile yaklaşım uygulanır?
a)
Laparotomi
b)
Sağ
torakotomi
c)
Servikal
kesi
d)
Transhiyatal
yaklaşım
e)
Sol
torakolaparotomi
23. Altta ameliyat
masasında görülen hastada aşağıdaki patolojilerden hangisi nedeniyle ameliyat
yapılıyor olabilir?
a)
Hiyatal
herni
b)
Travmatik
diyafram rüptürü
c)
Özofagus
kanseri
d)
Özofagus
leiomyomu
e)
Morgagni
hernisi
24. Toraksın 1/3 üst
kısmında lokalize olan ve trakea invazyonu şüphesi olan bir özofagus kanser
vakasında ilk önce hangi yaklaşım uygulanır?
a)
Laparotomi
b)
Sağ
torakotomi
c)
Servikal
kesi
d)
Bronkoskopi
e)
Sol
torakolaparotomi
25. Otuzbir yaşında
erkek hasta, disfaji şikayeti mevcut, toraks BT kesiti, özofagoskopik görüntüsü
ve ameliyat piyesi altta olan bu hastada hangi patolojiyi düşünürsünüz?
a)
Özofagus
kanseri
b)
Bronkojenik
kist
c)
Özofagus
leiomyomu
d)
Özofagus
divertikülü
e)
Nörojenik
tümör
26. Özofagus
patolojileri ile ilgili alttaki ifadelerden hangisi yanlıştır?
a)
Yabancı
cisimleri, en sık birinci darlıkta lokalize olur
b)
Kanseri,
ülkemizde en fazla eski İpek Yolu üzerindeki şehirlerde görülür
c)
Leiomyomunda,
özofagoskopide mukoza sağlam gözlenir
d)
Zenker
divertikülü, özofagusun servikal kısmında görülür
e)
Akalazyada,
transhiyatal yolla darlık olan kısım rezeke edilir
27. Özofagus kanseri
ile ilgili aşağıdaki ifadelerden hangisi yanlıştır?
a)
Özofajektomiden
sonra replasman için en çok kullanılan yapı mide’dir
b)
Etyolojide
predispozan faktörler arasında Barret özofagus da yer almaktadır
c)
Bazı
vakalarda torakotomi ve servikal kesi ile özofagus rezeksiyonu
gerçekleştirilebilir
d)
Özofajektomi
sonrası anastomoz, göğüs boşluğunda ya da boyunda yapılır.
e)
İnoperabl
vakalarda disfajiyi düzeltmek için genellikle stent tercih edilir
28. Şikayeti
bulunmayan, 39 yaşındaki erkek hastanın, fiber özofagoskopisinde 25. cm’de
submukozal lezyon saptanmış olup, mukoza normal bulunmuştur. Bu hastada hangi
patoloji olma ihtimali yüksektir?
a) Özofagus kanseri
b) Bronkojenik
kist
c) Özofagus
leiomyomu
d) Özofagus
divertikülü
e) Nörojenik
tümör
29. Özofagusun en
sık görülen benign tümörü hangisidir?
a)
Lipom
b)
Granüler
hücreli tümör
c)
Adenom
d)
Leiomyom
e)
Polip
30. Aşağıdakilerden
hangi özofagus patolojisinde hastada semptom yoksa ameliyat pek düşünülmez?
a)
Traksiyon
divertikülü
b)
Pulsiyon
divertikülü
c)
Leiomyom
d)
Kanser
e)
Lipom
31. Özofagus kanseri
hangi ilimizde diğerlerine göre daha az görülür?
a)
Erzurum
b)
Ağrı
c)
Bitlis
d)
Van
e)
Hakkari
32. 7 yıl önce
özofagus kanseri nedeniyle sağ torakotomi+laparotomi uygulanan hasta kontrole
geldi. Sırt ve göğüs ağrısı dışında yakınması yok. Altta PA akciğer grafisi
görülen hastada ne düşünürsünüz?
a)
Travmatik
diyafram hernisi
b)
Sliding
herni
c)
Paraözofageal
herni
d)
Bu
ameliyatı olmuş kişi için normal grafi
e)
Morgagni
hernisi
33. Özofagus kanser
cerrahisi ameliyatında hangi kesi/girişim yöntemi kesinlikle kullanılmaz?
a)
Torakoskopi
b)
Laparoskopi
c)
Servikal
kesi
d)
Laparotomi
e)
Mediyan
sternotomi
34. Aşağıdaki
özofagus patolojilerinin hangisinde “fundoplikasyon” da uygulanır?
a)
Özofagus
kanseri
b)
Özofagus
leiomyomu
c)
Akalazya
d)
Özofagus
divertikülü
e)
Bronkoözofageal
fistül
35. Hangi ifade
akalazya hastalığı ile ilişkili değildir?
a)
Paradoksal
disfaji
b)
Özofageal
manometri
c)
Modifiye
Heller
d)
Psödodivertikül
e)
Megaözofagus
36. Erken evre ve orta 1/3 torasik özofagusda
lokalize kanserli bir hastada biyopsi alınırken perforasyon gelişti. Bu durumda
hangi yolu izlemek doğrudur?
a)
İlk
24 saat içerisinde özofagus rezeksiyonu uygulanır.
b)
Oral
alım kesilir, geniş spektrumlu antibiyoterapi uygulanır, total parenteral
beslenme başlanır, kapalı göğüs drenajı uygulanıp fistülün kapanması beklenir.
c)
İlk
24 içerisinde özofagus perforasyonu primer olarak tamir edilir.
d)
Özofageal
stent takılır.
e)
Özofagoskopi
yapılır ve perforasyon olan yere doku yapıştırıcı uygulanır.
37. Özofagus
rezeksiyonu sonrasında rekonstrüksiyon için en çok kullanılan
gastrointestinal yapı aşağıdakilerden hangisidir?
a)
Sol
kolon
b)
Sağ
kolon
c)
İleum
d)
Jejunum
e)
Mide
38. Aşağıdaki şehir
ve ülkelerden hangisinde özofagus kanseri görülme sıklığı fazla değildir?
a)
İran
b)
Erzurum
c)
Japonya
d)
Adana
e)
Van
39. Bilgisayarlı
toraks tomografisinde özofagus bölgesinde kitle saptanan bir hastada hangi
bulgu bu lezyonun benign karakterli olduğuna delil sayılabilir?
a)
PET
tutulumunun yüksek olması
b)
Endoskopide
normal mukoza
c)
Özofagus
ultrasonografisinde lezyonun bütün katları içine alması
d)
Progressiv
disfaji
e)
Bilgisayarlı
toraks tomografisinde multipl lenfadenopatiler
40. Yenidoğanda özofagus
atrezisi ve trakeoözofageal fistül birlikteliğinin hangi tipi sık görülür?
a)
Tip
A
b)
Tip
B
c)
Tip
C
d)
Tip
D
e)
Tip
E
41. Özofagus yabancı cismi
nedeniyle yapılan özofagoskopi sırasında hastada boyun ve göğsün üst kısmında
ciltaltı amfizemi gelişiyor. İşlem öncesi akciğer grafisi normal olan hastanın
işlem sonrası çekilen filminde sağda hava-sıvı seviyesi saptanıyor. Tanı nedir ve
tedavi yaklaşımı ne olmalıdır?
a) Pnömotoraks – Kapalı göğüs
drenajı
b) Perforasyon – Konservatif
tedavi
c) Perforasyon – Cerrahi
tamir
d) Ampiyem – Kapalı göğüs
drenajı
e) Pnömotoraks – Cerrahi
Tamir
42. Akalazya hastalığı ile ilgili aşağıdaki ifadelerden hangisi yanlıştır?
a)
Özofagusda
organik darlık olması
b)
İtici
peristaltizm yokluğu
c)
Yutmayla
koordineli alt uç sfinkterinde reseptif relaksasyon olmaması
d) Özofagusda hipertrofi ve
dilatasyon
e) Özofagus gövdesinde tonus kaybı
43. Aşağıdaki ifadelerden hangisi
akalazya ile ilgili değildir?
a)
Manometrik
inceleme
b)
Baryumlu
grafide kuş gagası görünümünde daralma
c)
Megaözofagus
d)
Miyotomi
e)
Progressiv
disfaji
44. Özofageal leiomyom düşünülen
bir hasta için aşağıdaki ifadelerden hangisi doğru değildir?
a)
Tümör
genellikle asemptomatiktir ve başka nedenlerle yapılan incelemelerde tesadüfen
ortaya çıkar.
b)
Endoskopide,
submukozal ve lümene doğru mukozayı iten oluşum saptanır ve mukoza normaldir.
c)
Torakal
lokalizasyonlu leiomyomlara sol taraftan yaklaşım uygundur.
d)
Özofageal
ultrason ile lezyonun özofagus duvarındaki konumu, boyutları ve yapısı hakkında
bilgi edinilir.
e)
Özofagusun
leiomyom ve diğer benign tümörlerinde, semptom olmasa bile cerrahi
düşünülmelidir.
45. Aşağıdakilerden hangisi
özofagus patolojilerinde son yıllarda uygulamaya giren tanı ve tedavi
yöntemlerinden değildir?
a) Akalazya
- Peroral Endoskopic Miyotomi (POEM)
b) Leiomyom
- Submucosal Tunneling Endoscopic Resection-STER
c) Leiomyom
- Endoscopic Submucosal Excavation-ESE
d) Özofagus
kanseri – VATS & RATS
e) Akalazya
& Divertikül & Kanser – Baryumlu özofagus grafisi
46. Özofagus striktürlerinde
tedavide hangi yöntem kullanılmaz?
a) Balon
dilatasyon
b) Buji
ile dilatasyon
c) Stent
d) Cerrahi
e) Peroral
Endoskopic Miyotomi (POEM)
47. Aşağıdaki özofagusla
ilişkili sendromlardan hangisinin tedavisinde cerrahi gerekebilir?
a) Plummer
- Vinson sendromu
b) Mallory
- Weiss Sendromu
c) Boerhaave
sendromu
d) Paterson-Brown-Kelly
Sendromu
e) Sideropenik
Disfaji
48. Perkütan Endoskopik
Gastrostomi (PEG) hangi patolojide kullanılmaz?
a) Özofagus
kanserinin palyasyonunda
b) Özofago-plevral
fistülde
c) Trakeo-özofageal
fistülde
d) Komadaki
hastada
e) Yabancı
cisim obstrüksiyonunda
49. Özofagusda organik darlık
olmadan disfaji oluşturan hastalık hangisidir?
a) Kanser
b) Leiomyom
c) Striktür
d) Akalazya
e) Plummer
- Vinson sendromu
50. Özofagus benign
tümörlerinin tanısında ve malign tümörlerinin evrelemesinde kullanılan en
önemli tetkik aşağıdakilerden hangisidir?
a) MR
b) BT
c) Endoskopi
d) EUS
e) PET-BT
51. Özofageal stentler
aşağıdaki patolojilerin hangisinde kullanılmaz?
a) Özofagus
kanserinin palyasyonu
b) Özofago-plevral
fistül
c) Trakeo-özofageal
fistül
d) Özofagus
striktürleri
e) Akalazya
52. Aşağıdaki disfaji yapan
sebeplerden hangisinin tedavisinde cerrahiye genellikle gerek yoktur?
a) Kanser
b) Leiomyom
c) Akalazya
d) Yabancı
cisim
e) Plummer
- Vinson sendromu
53. Özofagus kanserinde TNM
sınıflamasında M faktörünü belirlemede hangi tetkik en uygundur?
a) EUS
b) BT
c) PET-BT
d) MR
e) Endoskopi
MUHTELİF GÖĞÜS CERRAHİSİ KONULARI
1.
63
yaşında erkek hastanın öksürükle kan tükürme şikayeti var. FOB’da sağ alt lob
bronş ağzı tümörle tam tıkalı. PA Akciğer grafisindeki radyografik bulgu nedir?
a)
Diyafram
evantrasyonu
b)
Atelektazi
c)
Plevral
sıvı
d)
Kitle
e)
Pnömonik
infiltrasyon
2.
Bilobektomi
inferior hangi lobların rezeksiyonunu ifade eder?
a)
Sol
üst & alt
b)
Sol
linguler segment & alt
c)
Sağ
üst ve alt
d)
Sağ
üst ve orta
e)
Sağ
alt ve orta
3.
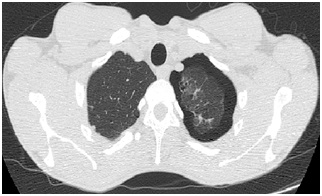
64
yaşında erkek hasta. Kronik sigara içimi öyküsü mevcut. PA Akciğer grafisi
görülen hastada bundan sonra ilk hangi tetkik/işlem istenmelidir?
a)
FOB
b)
BT
c)
PET-CT
d)
TTİİAB
e)
MR
4.
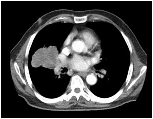
13
yaşında kız. Radyolojik olarak öntanıda öncelikle ne düşünürsünüz?
a)
Bronkojenik
kist
b)
Hidatik
kist
c)
Akciğer
apsesi
d)
Akciğer
kanseri
e)
Aspergilloma
5.
74
yaşında erkek hasta, uzun yıllar sigara içmiş, bir hafta önce ameliyat olduğunu
belirtiyor, herhangi bir şikayeti yok. Bu hasta ile ilgili aşağıdaki
ifadelerden hangisi yanlıştır?
a) Muhtemelen
tanı akciğer kanseridir.
b) Sol
pnömonektomi ameliyatı olmuş olabilir.
c) Postop
plevral sıvı nedeniyle torasentez yapılmalıdır.
d) Uzun dönemde
BPF gelişme riski olabilir.
e) Herhangi bir
şey yapmaya gerek yoktur.
6.
Göğüs
travmalı bir hastada aşağıdaki bilgilerden hangisi yanlıştır?
a)
Ciltaltında
hava varsa sebep büyük olasılıkla pnömotorakstır
b)
Göğüs
üst kısmında, kollarda, boyun ve yüzde siyanoz, ödem ayrıca subkonjonktival
kanama travmatik asfiksiyi akla getirebilir
c)
Trakeobronşiyal
ve diyafram rüptüründe, yıllar sonra bile cerrahi onarım mümkündür.
d)
Pulmoner
kontüzyonda konservatif tedaviye cevap alınamazsa cerrahi düşünülmelidir.
e)
Hemo
ve/veya pnömotoraks mevcudiyetinde kapalı kapalı sualtı göğüs drenajı
düşünülmelidir.
7.
Aşağıdaki
Toraks BT kesitine ve okla yapılan işleme göre seçeneklerdeki ifadelerden
hangisi yanlıştır?
a)
İşlem
BT eşliğinde TTİİAB’dir.
b)
İnvaziv
bir işlemdir.
c)
Pnömoraks
ve/veya hemotoraks komplikasyonu gelişebilir.
d)
Tanı
oranı %100’dür.
e)
Özellikle
periferik yerleşimli ve inoperabl lezyonlarda düşünülür.
8.
Toraks
travmasına ait hangi patolojide cerrahi düşünülmez?
a)
Trakeobronşiyal
rüptür
b)
Hemotoraks
c)
Akciğer
laserasyonu
d)
Travmatik
asfiksi
e)
Diyafram
rüptürü
9.
Hangi
yöntem trakeobronşiyal yabancı cisimlerin tedavisinde kullanılmaz?
a)
Cerrahi
b)
Rijit
bronkoskopi
c)
Fiberoptik
bronkoskopi
d)
Fogarty
katateri
e)
Fluoroskopi
10. Hangisi kot
fraktürlerinin erken ya da geç komplikasyonlarından değildir?
a)
Pnömotoraks
b)
Şilotoraks
c)
Hemotoraks
d)
Atelektazi
e)
Pnömoni
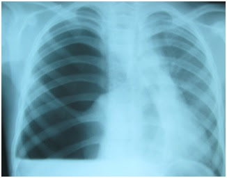
11. Alttaki akciğer
filmine göre olası tanı ve tedaviniz nedir?
a)
Akciğer
kanseri – Rezeksiyon
b)
Spontan
pnömotoraks – Kapalı göğüs drenajı
c)
Spontan
Pnömotoraks – VATS
d)
Mediasten
tümörü – Eksizyon
e)
Bronş
rüptürü - Bronkoplasti
12. Anterior
mediastende gözlenen en sık lezyon hangisidir?
a)
Enterik
kist
b)
Teratojenik
tümör
c)
Bochdalek
hernisi
d)
Timoma
e)
Özofagus
tümörü
13. Hangi yabancı
cisimde acil endoskopi endikasyonu yoktur?
a) Yabancı
cismin asfiksi oluşturması
b) Trakeadaki
fasulye, nohut gibi bitkisel ve su çekme özelliğine sahip yabancı cisimler
c) Boncuklu iğne
gibi yabancı cisimler
d) Yabancı
cismin tutulamadığı boncuk gibi künt, sferik ve ortası delik cisimler
e) Disk pilin
özofagusda takılıp kalması
14. Toraks travması
tedavisinde yanlış olan şık hangisidir?
a) Kırıklarda
ağrı tedavisi dışında girişimsel işlem yapılmaz.
b) Yelken
göğüsde öncelikle hareketli kısım sabitlenir.
c) Açık yara
varsa kapatılır.
d) Pnömotoraks
varsa kapalı su altı drenajı uygulanır.
e) Hemotoraks
varsa torakotomi uygulanır.
15. Mediastinal
lenfadenopati etyolojisinde hangisi düşünülmez?
a) Tüberküloz
b) Sarkoidozis
c) Behçet
hastalığı
d) Akciğer
kanseri
e) Lenfoma
16. Travma sonucu
oluşan hangi patolojide hipotansiyon, taşikardi, venöz basınç artışı ve kalp
seslerinin derinden gelmesi saptanabilir?
a) Travmatik
asfiksi
b) Trakeobronşiyal
rüptür
c) Yelken göğüs
d) Kalp
tamponadı
e) Açık
pnömotoraks
17. Yelken göğüste
en çok hangi patoloji birlikte bulunabilir?
a)
Pulmoner
kontüzyon
b)
Pulmoner
laserasyon
c)
Atelektazi
d)
Pnömotoraks
e)
Travmatik
asfiksi
18. Sternotomi kesisi
hangisinde kullanılmaz?
a)
Akciğer
hidatik kisti
b)
Akciğer
metastaz cerrahisi
c)
Özofajektomi
d)
Koroner
by-pass
e)
Ön
mediasten tümörü
19. Akciğer
kanserinde hangisi parankim koruyucudur?
a)
Lobektomi
b)
Pnömonektomi
c)
Ekstended
pnömonektomi
d)
Bilobektomi
e)
Sleeve
lobektomi
20. Yarım saat önce
sırttan ve boynundan bıçaklanma sonucu acil servise getirilen hastaya, çekilen
akciğer grafisi sonucu hemotoraks tanısı konuldu. Kapalı göğüs drenajı
uygulanan hastada ilk 1.5 saatte 2 lt hemoraji oldu. Bu durumda hastaya
yaklaşım nasıl devam etmelidir?
a)
Kan
ve sıvı replasmanı ile takibe devam edilir
b)
Kalp
veya büyük damar yaralanması düşünülüp ekokardiyografi tetkiki istenir
c)
Daha
ileri inceleme için BT istenir
d)
VATS
uygulanır
e)
Torakotomi
uygulanır
21. Trakeobronşiyal
ve özofageal yabancı cisimlerin tedavisi ile ilgili ifadelerden hangisi yanlıştır?
a)
Asfiksi
durumunda Heimlich manevrası uygulanabilir
b)
Özofagusdaki
disk piller ve trakeobronşiyal ağaçtaki su çekme özelliğine sahip bitkisel
maddeler acilen çıkarılmalıdır
c)
Yabancı
cisimlerde akciğer grafisinin normal olması yabancı cisim ihtimalini ekarte
etmez
d)
Sık tekrarlayan akciğer enfeksiyonu olan
çocuklarda endobronşiyal tümör, erişkinlerde ise yabancı cisim aspirasyonu akla
gelmelidir
e)
Özofagus
yabancı cisimlerinin tedavisinde kullanılan rijit özofagoskopinin en önemli
komplikasyonu özofagus perforasyonudur
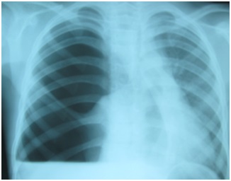
22. Alttaki akciğer
filmine göre tanınız nedir?
a)
Spontan
pnömotoraks
b)
Travmatik
pnömotoraks
c)
Tansiyon
pnömotoraks
d)
Büllöz
akciğer
e)
Diyafram
rüptürü
23. Video-yardımlı
torakoskopik cerrahinin (VATS) hangi hastalıkta yeri yoktur?
a)
Özofagus
leiomyomu
b)
Hiperhidrozis
c)
Akciğer
hidatik kisti
d)
Gastroözofageal
reflü
e)
Diyafram
evantrasyonu
24. Onüç yaşında bir
hasta. Öksürük, iştahsızlık, zayıflama, gece terlemesi yakınması mevcut.
Akciğer grafisinde solda plevral sıvı saptandı. Torasentez ile alınan sıvı
eksuda vasfında. Biyokimyasal, mikrobiyolojik ve sitolojik incelemeler tanıya
götürmedi. Tanıda ne düşünür ve hangi tetkiki önerirsiniz?
a)
Malign
mezotelyoma - VATS
b)
Lenfoma
- VATS
c)
Tüberküloz
- VATS
d)
Akciğer
kanseri – Toraks BT
e)
Nonspesifik
plörit – Aralıklı takip
25. Toraks BT’ye
göre tanınız nedir?
a)
Akciğer
hidatik kisti
b)
Nörojenik
tümör
c)
Pulmoner
sekestrasyon
d)
Akciğer
ca
e)
Bronşektazi
26. İş başvurusu
sırasında çekilen akciğer grafisi ve BT’si altta olan hasta 29 yaşında, erkek.
Öntanı ve yaklaşımınız nedir?
a)
Akciğer
hidatik kisti – Transtorasik ince iğne aspirasyon biyopsisi
b)
Akciğer
hidatik kisti - VATS
c)
Nörojenik
tümör – Transtorasik iğne aspirasyon biyopsisi
d)
Nörojenik
tümör - VATS
e)
Perikardiyal
kist - VATS
27. Mediastinal
flatter hangisinde görülür?
a)
Hemotoraks
b)
Bronş
rüptürü
c)
Atelektazi
d)
Basınçlı
pnömotoraks
e)
Açık
pnömotoraks
28. Mediastinal
flatter’de en sık etkilenen ve klinik tablonun ağırlaşmasına neden olan
vasküler yapı hangisidir?
a)
Aorta
b)
Vena
kava
c)
Pulmoner
arter
d)
Pulmoner
ven
e)
Koroner
arter
29. Travma geçiren
hastanın toraks BT’si aşağıda mevcut. Öntanıda öncelikle ne düşünürsünüz?
a)
Özofagus
rüptürü
b)
Trakeobronşiyal
rüptür
c)
Travmatik
pnömotoraks
d)
Açık
pnömotoraks
e)
Atelektazi
30. Aşağıdakilerden
hangisi trakeobronşiyal yabancı cisimlere bağlı erken ya da geç
komplikasyonlardan değildir?
a)
Bronşektazi
b)
Pnömoni
c)
Astıma
benzer tablo
d)
Asfiksi
e)
Aortabronşiyal
fistül
31. Hangi hastalık
eşlemesinde ilki saptandığında diğerinin varlığını düşünmeye ve araştırmaya
gerek yoktur?
a)
Timoma
– Myastenia gravis
b)
Akciğer
hidatik kisti – Karaciğer hidatik kisti
c)
Özofagus
atrezisi / Trakeoözofageal fistül – VACTERL anomalileri
d)
1.
kot fraktürü – Büyük hava yolu ve damar yaralanması
e)
Katamenial
pnömotoraks – Travma
32. Aşağıdakilerden
hangi cerrahi yöntemin malign plevral mezotelyoma (palyatif / radikal)
tedavisinde yeri yoktur?
a)
Plörodez
b)
Radikal
plörektomi
c)
Ekstraplevral
pnömonektomi
d)
Dekortikasyon
e)
Ekstraplevral
lobektomi
33. Hangisi VATS
işleminde açığa dönme nedenlerinden biri değildir?
a) İleri
derecede plevral yapışıklık
b) Kontrol
edilemeyen kanama
c) Akciğerdeki
lezyonun ortaya konulamaması
d) Cerrahın
kendini yeterli ve güven içinde hissetmemesi
e) Lezyonun
malign olması
34. 55 yaşında erkek
hasta, akşama doğru hareketlerle artan kas yorgunluğu ve gözde çift görme
şikayeti ile başvurdu. Hastanın toraks BT’sinde anterior mediastende 3x4 cm
çapında kitle tespit edildi. Bu hastada en olası tanı aşağıdakilerden
hangisidir?
a) Nörojenik
tümör
b) Timoma
c) Lenfoma
d) Akciğer
kanseri
e) Seminoma
35. Aşağıdakilerden
hangisi akciğer kanserinde cerrahi kontrendikasyonlardan değildir?
a)
Femur
metastazı
b)
N3
c)
Malign
plevral efüzyon
d)
Diyafram
invazyonu
e)
Özofagus
invazyonu
36. Mediastinitle
ilgili olarak aşağıdakilerden hangisi yanlıştır?
a)
Sepsis
bulguları ile birliktedir
b)
En
sık nedeni özofagus perforasyonudur
c)
Diş
abseleri sonucu da gelişebilir
d)
Neden
özofagus perforasyonu ise ilk 24 saatte cerrahi tamir yapılır
e)
Median
sternotomi ile yaklaşılır
37. Aşağıdakilerden
hangisi göğüs travmalı bir hastada akciğer parankimine ait görülebilecek bir
patoloji değildir?
a)
Pulmoner
kontüzyon
b)
Travmatik
akciğer kistleri
c)
Travmatik
asfiksi
d)
Pulmoner
hematom
e)
Erişkin
sıkıntılı solunum sendromu
38. Altta görülen
göğüs travmalı bir vakaya ait olan akciğer grafisinde hangi patolojiler
birliktedir?
a)
Multipl
kot fraktürü
b)
Multipl
kot fraktürü + skapula fraktürü
c)
Multipl
kot fraktürü + klavikula fraktürü
d)
Multipl
kot fraktürü + pnömotoraks
e)
Multipl
kot fraktürü + skapula fraktürü + klavikula fraktürü
39. Toraks patolojilerinin tanı ve evrelemesinde hangi eşleşme doğru verilmemiştir?
a) Endobronşiyal Ultrasonografi – Mediastinal lenf bezlerinden biyopsi
b) Bilgisayarlı toraks tomografisi – Transtorasik ince iğne aspirasyon biyopsisi
c) Torasentez – Plevral sıvı analizleri
d) Özofageal ultrasonografi – Özofagus benign tümöründen biyopsi
e) VATS – Wedge rezeksiyon
40. Aşağıdaki hangi
cerrahi işlemde akciğer parankimi eksize edilmez?
a) Lobektomi
b) Segmentektomi
c) İzole sleeve
rezeksiyon
d) Pnömonektomi
e)Wedge
rezeksiyon
41. Radyolojik
tanınız nedir?
a) Spontan
pnömotoraks
b) Hidatik kist
c) Bronkojenik
kist
d) Akciğer ca
e) Diyafram
hernisi
42. Akciğer kanseri
ile ilgili aşağıdaki bilgilerden hangisi yanlıştır?
a)
Kronik
sigara içimi ve 40 yaşın üstünde olan bir kişide, akciğerde bir soliter
pulmoner nodül saptandığında malignite öncelikle ekarte edilmelidir.
b)
Küçük
hücreli kanserde erken evre olan nadir vakalar dışında cerrahi tedavi
düşünülmez.
c)
Uzak
metastaz varlığında cerrahi kesinlikle düşünülmez.
d)
Mediastinoskopi,
evrelemede oldukça önemlidir.
e)
Akciğer
kanseri nedeniyle rezeksiyon uygulanmış bir hastada zaman içinde yeniden kanser
gelişebilir.
43. . I.
Sternotomi-Timektomi
II. Mediastinotomi-Lobektomi
III. Sternotomi-Özofajektomi
IV. Torakotomi-Pnömonektomi
V. Mediastinoskopi-Lenf bezi biyopsisi
Yukarıdaki hangi eşleşmeler doğrudur?
a)
I,
III, IV
b)
I,
II, V
c)
IV,
V, II
d)
I,
IV, V
e)
IV,
V, III
44. Göğüs Cerrahisi
hastalıkları ile ilgili aşağıdaki bilgilerden hangisi yanlıştır?
a)
Arka
mediastende en sık görülen tümör, nörojenik tümördür.
b)
Bronşektazi,
en sık akciğerlerin alt loblarında görülür.
c)
Akciğerin
en sık görülen benign tümörü, hamartomdur.
d)
Sekonder
spontan pnömotoraksın en sık sebebi, KOAH’tır.
e)
Göğüs
deformitelerinin en sık rastlanılan şekli, pektus karinatumdur.
45. Median
sternotomi kesisi hangi patolojide kullanılmaz?
a)
Kalp
cerrahisi
b)
Ön
mediasten yerleşimli kitleler
c)
Bilateral
akciğer patolojileri (Bilateral metastaz, hidatik kist...)
d)
Postpnömonektomi
BPF tamiri
e)
Özofagus
kanseri
46. Aşağıdakilerden
hangisi akciğer kanserinde cerrahi kontrendikasyonlardan biri değildir?
a)
Malign
plevral efüzyon
b)
N3
olgular (supraklavikuler-skalen lenf nodu tutulumu)
c)
Kalp,
özofagus tutulumu
d)
Göğüs
duvarı, diyafram tutulumu
e)
Uzak
(toraks dışı) organ metastazı (beyin, sürrenal tek metastaz hariç)
47. Aşağıdaki
kistlerden hangisine genellikle arka mediastende rastlanır?
a)
Hidatik
kist
b)
Gastroenterik
kist
c)
Perikardiyal
kist
d)
Bronkojenik
kist
e)
Travmatik
pulmoner kist
48. Pnömotoraks tedavisinde
temel ilke hangisidir?
a)
Akciğerin
tam ekspansiyonunun sağlanması
b)
Semptomların
ortadan kaldırılması
c)
Komplikasyonların
önlenmesi
d)
Nükslerin
önlenmesi
e)
Hepsi
49. Aşağıdakilerden
hangisinin trakeobronşiyal ve/veya özofageal yabancı cisimlerin tedavisinde
kesinlikle yeri yoktur?
a)
Rijit
endoskopi
b)
Fiber
optik endoskopi
c)
Fogarty
kateter
d)
Postural
drenaj
e)
Cerrahi
50. Toraks
travmasına bağlı hangi patolojide kapalı göğüs drenajı uygulanır?
a)
Hemotoraks
ve/veya pnömotoraks
b)
Diyafram
rüptürü
c)
Torasik
kompresyon sendromu
d)
Pulmoner
kontüzyon
e)
Yelken
göğüs
51. Radyografideki
patoloji hangi hastalığa ait olabilir?
a) Pnömonektomi
b) Yelken göğüs
c) Tansiyon
pnömotoraks
d) Akciğer
kanseri
e) Diyafram
hernisi
52. Video-yardımlı
torakoskopik cerrahi ile hangi işlem yapılamaz?
a) Lobektomi
b) Timektomi
c) Kistotomi+kapitonaj
d) Diyafram
plikasyonu
e) Torakoplasti
53. Aşağıdaki hangi
şıkta akciğer rezeksiyonları küçükten büyüğe doğru şekilde sıralanmıştır?
Lobektomi (L), Wedge rezeksiyon (W), Pnömonektomi (P), Segmentektomi (S)
a) P-L-S-W
b) S-W-L-P
c) W-S-L-P
d) P-S-L-W
e) W-L-S-P
54. Midklaviküler
hat sol 4. interkostal aralıktan gözlenen bir delici-kesici alet yaralanmasında
aşağıdaki yapılardan hangisinin öncelikli yaralanması düşünülür?
a) Sternum
b) Kalp
c) Özofagus
d) Diyafram
e) Dalak
55. Göğüs duvarı
patolojilerine ait aşağıdaki bilgilerden hangisi yanlıştır?
a)
Pektus
ekskavatum en sık görülen göğüs deformitesidir
b)
Pektus
ekskavatumda düzeltme için genellikle Nuss yöntemi tercih edilir
c)
Osteokondrom,
benign göğüs duvarı tümörleri içinde en sık görülenidir
d)
Ewing
sarkom, en sık görülen malign göğüs duvarı tümörüdür.
e)
Pektus
karinatum, halk arasında güvercin göğsü olarak da bilinir
56. Ekstraplevral
pnömonektomi hangi patolojide uygulanabilir?
a)
Malign
mezotelyoma
b)
Akciğer
kanseri
c)
Bronşiyal
karsinoid tümör
d)
Trakea
tümörü
e)
Diyafram
tümörü
57. Onsekiz yaşında
hasta. Üç ay önce solda primer spontan pnömotoraks nedeniyle kapalı göğüs
drenajı uygulanan hastada sağda minimal pnömotoraks saptandı. Göğüs ağrısı
dışında klinik semptomu olmayan hastanın toraks BT’si normal idi. Bu hastada en
uygun tedavi yaklaşımı ne olabilir?
a)
Kapalı
göğüs drenajı
b)
Gözlem
ve O2 desteği
c)
İğne
aspirasyonu
d)
Video-yardımlı
torakoskopik cerrahi
e)
Torakotomi
58. Aşağıdakilerden
hangisinin trakeobronşiyal yabancı cisimlerine acil yaklaşımda kesinlikle yeri
yoktur?
a)
Heimlich
manevrası
b)
Trakeostomi
c)
Postural
drenaj
d)
Endotrakeal
entübasyon
e)
Rijit
bronkoskopi
59. Kosta
fraktürlerinin tedavi yaklaşımında aşağıdakilerden hangisinin yeri yoktur?
a)
Ağrı
kesici
b)
Erken
mobilizasyon
c)
Gelişebilecek
komplikasyonlar konusunda dikkatli olmak
d)
Hastanın
derin inspirasyonu, sıkça öksürtülmesi
e)
Fraktürlü
kısmın bandajı
60. Göğüs
Cerrahisi’nde kullanılan girişimlerin invaziv olması açısından azdan çoğa doğru
sıralaması hangi şıkta bozulmuştur?
a)
Torasentez
b)
Plörekan
kateter kapalı göğüs drenajı
c)
Tüp
torakostomi ile kapalı göğüs drenajı
d)
Torakotomi
e)
Video-yardımlı
torakoskopik cerrahi
61. Toraks CT’sinde
lezyon görülen hastada kronik öksürük şikayeti var. Hasta 35 yaşında ve 20 yıl
günde 1 paket sigara içiyor. Tanı ve evreleme için bu aşamadan sonra hangisine en
az ihtiyaç duyulur?
a)
Bronkoskopi
b)
PET-CT
c)
Transtorasik
İİAB
d)
VATS
e)
Beyin
MR
62. Hastanede
personelin biri size doğrudan alttaki akciğer grafisini gösteriyor. Radyolojiyi
nasıl tanımlarsınız?
a) Hemotoraks
b) Pnömotoraks
c) Hidropnömotoraks
d) Tansiyon
pnömotoraks
e) Hemopnömotoraks
63. 63. soruda,
elinizde sadece akciğer grafisi olan vaka için tanıda öncelikle ne yaparsınız?
a)
Torasentez
b)
Anamnez
c)
Kapalı
göğüs drenajı
d)
VATS
e)
Bilgisayarlı
tomografi
64. Ön mediastende
kitlesi olan hastaya aşağıdaki kesi ile yaklaşım uygulanmıştır. Bu yaklaşımın
adı nedir?
a) Median
sternotomi
b) Sağ
torakotomi
c) Sol
torakotomi
d) Torakoabdominal
kesi
e) Bilateral
transvers torakosternotomi
65. Hangi insizyon
mediasten patolojilerinde kullanılmaz?
a)
Torakotomi
b)
Video-yardımlı
torakoskopik cerrahi
c)
Median
sternotomi
d)
Mediastinotomi
e)
Transaksiller
kesi
66. Göğüs
Cerrahisi’nde tıbbi girişimlerle ilgili hangi ifade yanlıştır?
a)
İnterkostal
aralıktan yapılan girişimler kostanın üst kenarından yapılır
b)
Parasternal
alanda internal mammarian arter yaralanabilir
c)
Göğüs
tüpü takarken meme başı hizasının altına indikçe diyafram altına girme riski
artar
d)
Torasentezde
pnömotoraks ve/veya hemotoraks komplikasyon gelişme ihtimali vardır
e)
Solunumu
arresti gelişen hastada acilen trakeostomi açılıp mekanik ventilatöre bağlanır
67. Aşağıdaki
patolojilerden hangisinde cerrahi dışı yöntemlerin kesinlikle yeri yoktur?
a)
Bronşektazi
b)
Akciğer
hidatik kisti
c)
Akciğer
kanseri
d)
Nörojenik
tümör
e)
Malign
mezotelyoma
68. Sleeve
rezeksiyon, Göğüs Cerrahisi’nde genellikle hangi iki patolojide kullanılır?
a)
Akciğer
kanseri & Karsinoid tümör
b)
Malign
mezotelyoma & Akciğer kanseri
c)
Özofagus
kanseri & Akciğer kanseri
d)
Karsinoid
tümör & Nörojenik tümör
e)
Özofagus
kanseri & Karsinoid tümör
69. Normal bir
akciğer radyogramında x işareti neye karşılık gelir?
a)
Sağ
ventrikül
b)
Sağ
atrium
c)
Vena
kava superior
d)
Vena
kava inferior
e)
Pulmoner
arter
70. Trakea
hastalıkları bazen yanlışlıkla hangi tanıyı alıp tedavi edilmeye çalışılır?
a)
Trakeomalazi
b)
Yabancı
cisim
c)
Astım
d)
Akalazya
e)
Guatr
71. Kot fraktürleri
ile ilgili bilgilerden hangisi yanlıştır?
a)
Erişkinlerde
sık iken, göğüs duvarı elastikiyeti nedeniyle çocuklarda daha azdır
b)
İlk
üç kot fraktüründe büyük damar ve havayolu yaralanması ihtimali vardır
c)
Orta
kot (4-9) fraktürlerinde hemo ve/veya pnömotoraks, yelken göğüs, pulmoner
kontüzyon ihtimali vardır
d)
Alt
kotların (10-12) fraktüründe, abdominal organ (karaciğer, dalak ve böbrek) yaralanması ihtimali vardır
e)
Tedavinin
temeli, ağrı kontrolü, fraktürlü kısmın bandajı ve gelişebilecek komplikasyonların
önlenmesidir
72. Yelken göğüsle
ilgili bilgilerden hangisi yanlıştır?
a)
Göğüs
duvarında ayrı ve bağımsız hareket eden bir parça vardır
b)
Paradoksal
hareket vardır
c)
Ardışık
en az iki kot veya kostal kartilajın iki veya daha fazla yerinden kırılması sözkonusudur
d)
Tanı
inspeksiyonla bile rahatlıkla konulabilir
e)
Hemen
daima hemo ve/veya pnömotoraks birliktedir
73. Aşağıdaki
yöntemlerden hangisi spontan pnömotoraks tedavisinde kullanılmaz?
a)
Plevral
abrazyon
b)
Pariyetal
plörektomi
c)
Wedge
rezeksiyon
d)
Segmentektomi
e)
Büllektomi
74. Aşağıdaki
yapılardan hangisi mediyastenin sınırlarını oluşturmaz?
a) Diyafram
b) Torasik
vertebra
c) Mediyastinal
plevra
d) Sternum &
Kostal kartilajlar
e) Torasik
outlet
75. 51 yaşında bayan
hasta, safra kesesi taşı nedeniyle tetkik yapılırken çekilen akciğer filmi
yanda üstte, akabinde çekilen toraks BT kesiti altta, sigara içme öyküsü
olmayan hastada en olası tanı nedir?
a)
Akciğer
kanseri
b)
Malign
mezotelyoma
c)
Göğüs
duvarı tümörü
d)
Hidatik
kist
e)
Bronkojenik
kist
76. Akciğer
kanserinde, “karşı taraf mediastinal, hiler; aynı veya karşı taraf
supraklaviküler veya skalen lenf bezi metastazı” ne ile tanımlanır?
a)
N1
b)
N2
c)
N3
d)
T2
e)
M1
77. Altta resimleri
görülen göğüs duvarı patolojisinin adı nedir?
a)
Pektus
ekskavatum
b)
Pektus
karinatum
c)
Tietze
sendromu
d)
Poland
sendromu
e)
Cantrell
pentalojisi
78. Hidatik kistin
en sık yerleştiği iki organ/doku aşağıdakilerden hangisidir?
a)
Akciğer,
Kemik
b)
Akciğer,
Dalak
c)
Karaciğer,
Beyin
d)
Karaciğer,
Böbrek
e)
Karaciğer,
Akciğer
79. Aşağıdaki
kistlerin hangisinde cerrahi ve/veya medikal tedavi seçeneği birlikte bulunur?
a)
Hidatik
kist
b)
Nöroenterik
kist
c)
Bronkojenik
kist
d)
Perikardiyal
kist
e)
Gastroenterik
kist
80. Aşağıdaki tanı
yöntemlerinden hangisi mediyastinal lenf bezlerinin değerlendirilmesinde tercih
edilmez?
a)
Magnetik
Rezonans İnceleme
b)
Pozitron
Emisyon Tomografi-Bilgisayarlı Tomografi
c)
Endobronşiyal
ultrasonografi
d)
Mediastinoskopi
e)
Video-yardımlı
torakoskopik cerrahi
81. Toraksın aniden
ciddi sıkışması sonucu, vena kava superiorde ani ve çok yüksek basınç artımı
oluşması ve buna bağlı olarak göğüs üst kısmında, kollarda, boyun ve yüzde
siyanoz, ödem ayrıca subkonjonktival kanama ve beyin ödemi gelişmesi
aşağıdakilerden hangisi ile tanımlanmaz?
a)
Perthes
sendromu
b)
Ogilvi
sendromu
c)
Ekimotik
maske
d)
Torasik
kompresyon sendromu
e)
Travmatik
asfiksi
82. Mekanik
ventilatöre bağlı bir hastada oksijen satürasyonu düşmeye başlıyor, aynı
zamanda taşikardi ve hipotansiyon da mevcut. Tanıda ilk akla gelmesi gereken
aşağıdakilerden hangisi olmalıdır?
a)
Akut
kalp tamponadı
b)
Trakeobronşiyal rüptür
c)
Atelektazi
d)
Tansiyon
pnömotoraks
e)
Hemotoraks
83. Dört ay önce
kapalı göğüs drenajı uygulanan 28 yaşındaki hastanın aynı şikayetlerle tekrar
başvurduğunda çekilen grafisi alttadır. Bu hastada cerrahi tedavide uygulanması
düşünülen güncel yaklaşım aşağıdakilerden hangisidir?
a)
Posterolateral
torakotomi
b)
Mediyan
sternotomi
c)
Video-yardımlı
torakoskopik cerrahi
d)
Aksiller
torakotomi
e)
Robotik
cerrahi
84. Altta resmi
görülen kesinin adı nedir?
a)
Median
sternotomi
b)
Torakosternotomi
c)
Torakoplasti
kesisi
d)
Anterior
torakotomi
e)
Mediyastinotomi
85. Akciğer hidatik
kistinde aşağıdaki radyolojik belirtilerden hangisi görülmez?
a)
Nilüfer
çiçeği belirtisi
b)
Çift
kubbe belirtisi
c)
Hilȃl
belirtisi
d)
Soliter
pulmoner nodül
e)
Dolunay
belirtisi
86. Akciğer kanseri
ile ilgili bilgilerden hangisi yanlıştır?
a)
Tedavi
yaklaşımı açısından küçük hücreli ve küçük hücreli dışı diye sınıflandırılır
b)
Kavite
oluşumu en çok yassı hücreli kanserde görülür
c)
Akciğer
periferinde en sık yerleşen kanser, adenokarsinomdur
d)
Uzak
metastaz, en sık küçük hücreli kanserde görülür
e)
Malign
plevral efüzyon ve VCSS (vena kava superior sendromu)’nda da cerrahi
uygulanabilir
87. Aşağıda yan
tarafta toraks BT kesitleri görülen hasta 42 yaşında, erkek hasta. 13 yıl günde
1 paket sigara içmiş. Herhangi bir şikayeti yok. Rutin kontrol sırasında
akciğer grafisinde lezyon saptanıyor. Öntanıda öncelikle ne düşünür ve bir
sonraki aşamada hangi tetkikle devam edersiniz?
a)
Akciğer
hidatik kisti / İHA testi
b)
Tüberküloz
/ Balgamda ARB
c)
Akciğer
kanseri / PET-CT
d)
Akciğer
hidatik kisti / Toraks MR
e)
Akciğer
Kanseri / VATS
88. Toraks BT
kesitindeki anatomik yapılar (x-y-z) hangi şıkta doğru verilmiştir?
a)
Pulmoner
arter / Aort / Sternum
b)
Vena
kava superior / Pulmoner arter / Klavikula
c)
Aort
/ Pulmoner arter / Skapula
d)
Pulmoner
arter / Aort / Skapula
e)
Aort
/ Vena kava superior / Skapula
89. Çocukluğundan
beri sık enfeksiyon geçirme anamnezi olan ve masif hemoptizi nedeniyle gelen 25
yaşındaki hastanın Bilgisayarlı Tomografi kesiti verilmiştir. Olası tanınız
nedir?
a)
Kronik
Bronşit
b)
Bronşektazi
c)
Pnömotoraks
d)
Astım
e)
Hidatik
kist
90. Aşağıdaki
hastalıklardan hangisi hemoptizinin nedenleri arasında yer almaz?
a)
Bronşektazi
b)
Tüberküloz
c)
Akciğer
kanseri
d)
Torasik
outlet sendromu
e)
Aspergilloma
91. Epiglot düzeyinde nefes borusunu
tama yakın tıkayan yabancı cisim aspirasyonlarında acil müdahale yöntemi nedir?
a)
Acil
trakeostomi açılması
b)
Heimlich
manevrası uygulanması
c)
Acil
rijid bronkoskopi uygulanması
d)
Acil
fiberoptik bronkoskopi yapılması
e)
Acil
torakotomi
92. Akciğer hidatik
kistinde VATS uygulama imkanı yoksa önerilen cerrahi yöntem nedir?
a)
Torakotomi
- pnömonektomi
b)
Torakotomi
– wedge rezeksiyon
c)
Sternotomi
– kistotomi+kapitonaj
d)
Torakotomi
– kistotomi+kapitonaj
e)
Torakotomi
– lobektomi
93. Akciğer kanserinde görülen semptomlar ve sebepleri
hangisinde yanlış eşleştirilmiştir?
a)
Göğüs ağrısı =
Göğüs duvarı invazyonu
b)
Horner sendromu =
Servikal sempatik zincir tutulumu
c)
Diyafram paralizisi
= Frenik sinir tutulumu
d)
Ses kısıklığı =
Larinks tutulumu
e)
Üst ekstremitelerde
ve yüzde venöz konjesyon = Süperior vena kava tutulumu
94. Ön ve arka
mediyastende en sık rastlanan tümörler hangi şıkta doğrudur?
a)
Timoma
– Nörojenik tümör
b)
Substernal
guatr - Leiomyom
c)
Lenfoma
– Nörojenik tümör
d)
Akciğer
kanseri – Özofagus kanseri
e)
Timoma
- Lenfoma
95. Sternotomi insizyonu, aşağıdaki hangi durumda uygun
insizyon değildir?
a)
Çıkan aorta ve
büyük damarlara yaklaşımda
b)
Koroner by-pass
operasyonunda
c)
Anterior
mediyastinal neoplazilerin eksizyonunda
d)
Özofagus
operasyonlarında
e)
Perikardiyektomide
96. Altta Toraks BT kesiti
görülen hastada tanınız nedir?
a)
Pnömotoraks
b)
Hemotoraks
c)
Akciğer
kanseri
d)
Ampiyem
e)
Plevral
efüzyon
97. 45 yaşında sigara öyküsü bulunan bir hasta,
göğüs ağrısı ve nefes darlığı ile başvuruyor. Toraks BT’sinde solda plevral
efüzyon ve plevral kalınlaşma görülüyor. Torasentez ile alınan sıvının
sitolojik incelemesi “şüpheli malign mezotelyoma” şeklinde geliyor. Ayırıcı
tanıda ikinci düşünülmesi gereken hangisidir?
a)
Meme
karsinom metastazı
b)
Küçük
hücreli akciğer kanseri
c)
Akciğer
adenokarsinomu
d)
Pulmoner
emboli
e)
Malign
timoma
98. 78 yaşında erkek
hasta, öksürük şikayeti mevcut. 60 yıldır günde bir paket sigara öyküsü mevcut.
Toraks BT ve PET-CT çekilmiş olarak size başvurdu. Altta PET-CT kesiti
görülüyor. Öntanıda ne düşünür ve bu aşamadan sonra hangi tetkiki istersiniz?
a)
Hidatik
kist, FOB
b)
Hamartom,
TTİAB
c)
Akciğer
ca, FOB
d)
Akciğer
ca, Toraks MR
e)
Diyafram
tümörü, Toraks MR
99. Sol üst lobda soliter pulmoner nodülü olan bir hastaya VATS ile wedge rezeksiyon yapılmıştır. Operasyon esnasındaki
Frozen inceleme sonucu hamartom tanısı gelen hastaya ne yapılmalıdır?
a)
Sol üst lobektomiye
tamamlanmalıdır.
b)
Mediyastinal
küretaj yapılmalıdır.
c)
Operasyon
sonlandırılıp hasta kemoterapiye yönlendirilmelidir.
d)
Operasyon
sonlandırılıp hasta radyoterapiye yönlendirilmelidir.
e)
Operasyon
sonlandırılmalı ve ek bir şey yapılmamalıdır.
100.
Aşağıdakilerden
hangisi özofagus yabancı cisimleri için yanlıştır?
a)
Yabancı
cisimler en sık servikal özofagusta 1. darlıkta takılır
b)
Yabancı
cisimler genellikle hiçbir müdahaleye gerek kalmadan spontan yolla atılırlar
c)
Özellikle
keskin uçlu, büyük çaplı ve mukozaya saplanmış yabancı cisimlerde cerrahi
tedavi gerekli olabilir
d)
Yabancı
cisimlerin tedavisinde en sık kullanılan yöntem özofagoskopidir
e)
Özofagus
yabancı cisimleri diğer gastrointestinal sistem yabancı cisimlerinden daha
mortal ve morbit sonuçlara yol açarlar
101.
Aşağıdakilerden
hangisi akciğer kanseri tedavisi ile ilgili olarak yanlıştır?
a)
Hücre
tipi ve evresi tedavi seçiminde önemlidir
b)
Pnömonektomi
için FEV1 > 2 L olmalıdır
c)
Mediyastinoskopi
ile N2 değerlendirilir
d)
Pnömonektomi
en sık uygulanan cerrahi rezeksiyondur
e)
Wedge
rezeksiyon sadece solunum fonksiyonları yetersizse uygulanır
102.
What should the
first
surgical procedure will be applied in
the empyema?
a)
VATS
b)
Decortication
c)
Open
drainage
d)
Closed
chest drainage
e)
Thoracoplasty
103.
Which of the
following is present in radiography radiological sign?
a)
Water
lily sign
b)
Double
dome signs
c)
Crescent
sign
d)
Setting
sun signs
e)
Meniscus
sign
104.
Akciğer
kanseri ile ilgili bilgilerden hangisi yanlıştır?
a) Etyolojide, en önemli faktör sigaradır.
b) Kronik sigara içimi olan ve kırk yaşını geçmiş erkek hastalarda, soliter pulmoner nodülde ilk akla gelmesi gereken akciğer kanseridir.
c) Akciğer kanserinde en iyi prognoz, cerrahi tedavi ile elde edilir.
d) Akciğer kanserinde cerrahi tedavi, günümüzde bile hala ilk ve en önemli seçenektir.
e) İleri evre akciğer kanserlerinde hedefe yönelik tedavi ve immünoterapinin yeri yoktur.
105.
Which of the
following is not included anterior mediastinum?
a)
Lymphoma
b)
Neuroenteric
cyst
c)
Parathyroid
adenoma
d)
Goitre
e)
Thymic
cysts
106.
What to think of
the X-ray in patients, how do you approach?
a)
There is not pathology, are seen on the breasts of the female
patients
b)
Lung
cancer / Sternotomy
c)
Hydatid
cyst / Sternotomy
d)
Lung
cancer / VATS
e)
Hydatid
cyst / VATS
107.
Trauma patients
who have no pathology in which the chest X-ray?
a)
Clavicle
fracture
b)
Atelectasis
c)
Fallen
lung
d)
Costal
frakture
e)
Mediastinal
shift
108.
50
yaşında erkek hasta, üç gün önce diş muayenesinde protezi ağız içine düşmüş ve
bulunamamış. Diş hekimi üç gün içinde bağırsaklar yoluyla atılır demiş. Öksürük
ve nefes darlığının artması üzerine aşağıdaki film çekildi. Buna göre bu
hastada aşağıdakilerden hangisi doğrudur?
a)
Özofagus
yabancı cismi düşünülmeli, rijit özofagoskopi gereklidir
b)
Özofagus
yabancı cismi düşünülmeli, bağırsakta takılı kalmıştır, laparotomi gereklidir
c)
Trakeobronşiyal
yabancı cisim düşünülmeli, rijit bronkoskopi gereklidir
d)
Trakeobronşiyal
yabancı cisim düşünülmeli, fiber optik bronkoskopi gereklidir
e)
Protez
farkına varılmadan dışarı düşmüştür, ÜSYE kliniği mevcuttur, medikal tedavi
yeterlidir
109.
Aşağıdaki
toraks BT kesitinde, anatomik yapılar hangi şıkta doğru (a-b-c-d) sıralanmıştır?
a)
Aort-Vena
kava superior-Ana bronş-Pulmoner arter
b)
Pulmoner
arter-Aort-Ana bronş-Vena kava superior
c)
Vena
kava superior-Pulmoner arter-Aort-Ana bronş
d)
Aort-Pulmoner
arter-Vena kava superior-Ana bronş
e)
Pulmoner
arter-Vena kava superior-Aort-Ana bronş
110.
84
yaşında, toraks BT kesiti altta görülen hastada öncelikle ne düşünür ve hangi
tetkiki istersiniz?
a)
Akciğer
kanseri-Transtorasik ince iğne aspirasyon biyopsisi
b)
Tüberküloz-Asidoalkalo
Rezistan Bakteri testi
c)
Hamartom-Pozitron
Emisyon Tomografi
d)
Akciğer
kanseri-Pozitron Emisyon Tomografi
e)
Akciğer
kanseri-Bronkoskopi
111.
Masif
hemoptizi ile ilgili olarak aşağıdakilerden hangisi yanlıştır?
a)
Masif
hemoptizi tüm hemoptizilerin %1-5 ini oluşturur.
b)
Hayatı
tehdit edici bir durumdur ve %50’nin üzerinde mortalite oranlarına sahiptir.
c)
Acil
cerrahi girişimler, operatif şartların optimize edilememesi, hastanın solunum
fonksiyonlarının değerlendirilememesi ve komorbit faktörlerin iyi
yönetilememesi açısından yüksek risk taşır.
d)
Bronşial
arter embolizasyonunun bu hastaların tedavisinde yeri yoktur.
e)
Yoğun
bakım uzmanı, göğüs hastalıkları uzmanı, girişimsel radyoloji uzmanı ve göğüs
cerrahını içeren multidisipliner yaklaşım, mortalite oranlarının düşürülmesi
konusunda katkı sağlayabilir.
112.
Yirmi
yaşındaki hastada uygulanan VATS sırasında üst lob apikal segmentte alttaki
görüntü saptanmıştır. Tanı nedir?
a)
Akciğer
kanseri
b)
Hidatik
kist
c)
Pnömotoraks
d)
Tüberküloz
e)
Bronşektazi
113.
VATS
ile hangi cerrahi işlem yapılamaz?
a)
Akciğer
kanserinde lobektomi
b)
Pnömotoraksda
wedge rezeksiyon
c)
Ampiyemde
torakoplasti
d)
Diyafram
evantrasyonunda plikasyon
e)
Hiperhidrozisde
sempatektomi
114.
Bronkoskopi,
hangi patolojide etyolojiyi aydınlatmak amacıyla kullanılmaz?
a)
Plevral
efüzyon
b)
Ampiyem
c)
Bronşektazi
d)
Hidatik
kist
e)
Atelektazi
115.
Aşağıdakilerden
hangisi, atelektazi oluşma nedenlerinden biri değildir?
a)
Pulmoner
rezeksiyon
b)
Yabancı
cisim aspirasyonu
c)
Bronşiyal
karsinoid tümör
d)
Multipl
kot fraktürü
e)
Spontan
pnömotoraks
116.
Hangisi
kapalı göğüs drenajı için kullanılan malzemelerden biri değildir?
a)
Polietilen
göğüs tüpü
b)
Pezzer
dren
c)
Pleurocan
kateter
d)
Kapalı
göğüs drenaj seti
e)
Redon
dren
117.
Aşağıdaki
bilgisayarlı toraks tomografi kesitinde görülen patolojiler hangi şıkta doğru
verilmiştir?
a)
Ciltaltı
amfizemi, pnömotoraks, bül
b)
Bül,
pnömotoraks
c)
Ciltaltı
amfizemi, pnömotoraks
d)
Bül,
ciltaltı amfizemi
e)
Ciltaltı
amfizemi, pnömotoraks, kot fraktürü
118.
Nuss
yöntemi hangi göğüs duvarı patolojisinde uygulanır?
a)
Pektus
karinatum
b)
Pektus
ekskavatum
c)
Poland
sendromu
d)
Göğüs
duvarı tümörü
e)
Cantrell
pentalojisi
119.
Aşağıda
sağ yan grafisi görülen hastada lezyon, hangi lob ve segmentte lokalizedir?
a)
Üst
lob, anterior segment
b)
Üst
lob, posterior segment
c)
Üst
lob apikal segment
d)
Orta
lob, medial segment
e)
Alt
lob, posterobazal segment
120.
Hangi
göğüs cerrahisi ameliyatında rezeksiyon sonrası replasman / rekonstrüksiyon
hiçbir zaman gerekmez?
a)
Diyafram
tümörü
b)
Akciğer
kanseri
c)
Özofagus
kanseri
d)
Göğüs
duvarı tümörü
e)
Trakea
tümörü
121.
Yirmibeş
yaşındaki hastaya dört ay önce sol spontan pnömotoraks nedeniyle kapalı göğüs
drenajı uygulanmıştır. Yeni başvurusunda çekilen akciğer grafisi alttadır.
Doğru tedavi yaklaşımı sizce ne olmalıdır?
a)
Gözlem
ve O2 desteği, gerekirse iğne ile aspirasyon
b)
Kapalı
göğüs drenajını takiben sola VATS uygulanır
c)
Yalnızca
kapalı göğüs drenajı yeterlidir
d)
Kapalı
göğüs drenajını takiben plörodez uygulanır
e)
Kapalı
göğüs drenajını takiben sağa VATS uygulanır
122.
Plevral
sıvı düşünülen bir hastada sıvının varlığı ve natürü (yapısı) hakkında hangi
yöntemle kesin bilgi sahibi olunabilir?
a)
Bilgisayarlı
Tomografi
b)
Pozitron
Emisyon Tomografi
c)
Toraks
Ultrasonografisi
d)
Torasentez
e)
Akciğer
Grafisi
123.
Yirmi
yedi yaşında bayan, önceden herhangi bir şikayet yok iken, gripal enfeksiyon
nedeniyle gittiği hastanede çekilen akciğer grafisi ve BT kesitleri alttadır.
İndirekt hemaglütinasyon testi de pozitif bulunmuş. Tanıda öncelikle ne
düşünürsünüz?
a)
Akciğer
kanseri
b)
Ampiyem
c)
Hidatik
kist
d)
Bronkojenik
kist
e)
Pnömoni
124.
Kalp,
Özofagus ve Timus; mediyastende bulundukları yere göre önden arkaya hangi
şıkta doğru sıralanmıştır?
a)
Kalp,
Özofagus, Timus
b)
Timus,
Özofagus, Kalp
c)
Özofagus,
Timus, Kalp
d)
Timus,
Kalp, Özofagus
e)
Kalp,
Timus, Özofagus
125.
Heimlich
manevrası hangi acil patolojide uygulanır?
a)
Toraks
travması
b)
Trakeobronşiyal
& özofageal yabancı cisimler
c)
Spontan
pnömotoraks
d)
Hemoptizi
e)
Kardiyopulmoner
arrest
126.
Acil
servise başvuran hastanın akciğer grafisi aşağıdadır. Filme göre bu hasta için
aşağıdakilerden hangisi söylenemez?
a)
Kot
fraktürleri mevcuttur
b)
Etyoloji
travmadır
c)
Kapalı
göğüs drenajı uygulanmıştır
d)
Hemo
ve/veya pnömotoraks söz konusudur
e)
Diyafram
evantrasyonu mevcuttur
127.
Kırküç
yaşında erkek hasta, 25 yıldır günde 0.5-1 paket sigara öyküsü var, göğüs
ağrısı ve nefes darlığı şikayeti mevcut. Toraks BT kesitleri aşağıda görülen
hasta için hangisi söylenemez?
a)
Lezyon
soliter pulmoner nodüldür
b)
Akciğer
kanseri olabilir
c)
PET-CT
istenmelidir
d)
Lezyon
malign ise wedge rezeksiyon yeterlidir
e)
Sağ
alt lobda lokalizedir
128.
Yelken
Göğüs (Flail Chest) için aşağıdaki ifadelerden hangisi yanlıştır?
a) Tanı ancak radyolojik
inceleme ile konabilir
b) Göğüs
duvarının segmental anstabilitesi (ayrı ve bağımsız hareket eden bir parça)
vardır
c) Ardışık en az
iki kot veya kostal kartilajın iki veya daha fazla yerden kırılması ile oluşur
d) Paradoksal
hareket varlığı (soluk almada içeri, soluk vermede dışarı hareket) mevcuttur
e) Major
komponenti pulmoner kontüzyondur
129.
Masif
hemoptizi ile ilgili olarak aşağıdaki ifadelerden hangisi yanlıştır?
a)
Kanamanın
volümü açısından literatür oldukça farklılıklar göstermektedir (200-1000
mL/gün)
b)
Hemoptizi,
kanamanın miktarından çok hayatı tehdit edici özelliği yönünden
değerlendirilmelidir
c)
Bronşektazi,
Tüberküloz, Akciğer kanseri gibi hastalıkların seyri sırasında görülebilir
d)
Sadece
bronşiyal arterlerden kaynaklanırlar
e)
Tedavisi
yaklaşımı mültidisipliner olup Yoğun Bakım, Göğüs Hastalıkları, Göğüs Cerrahisi
ve Girişimsel Radyoloji Uzmanları ekibe dahildir
130.
Akciğer
kanserinde uzak metastazı tek çekim ile en doğru hangisi
değerlendirir?
a) Bilgisayarlı
Tomografi
b) USG
c) PET-BT
d) MRI
e) Kemik
Sintigrafi
131.
Alttaki
radyografiye göre verilen bilgilerden hangisi yanlıştır?
a)
Hasta
bayandır
b)
Lezyon
solda ve orta zondadır
c)
Lezyon
göğüs duvarına yakın ve düzgün sınırlıdır
d)
Bronkoskopiye
gerek yoktur
e)
PET-CT
istenebilir
132.
Akciğer
hastalığı olan hastada alttaki videoda yapılan biyopsi için uygulanan girişim
yolunun adı nedir? (NOT: Bir sonraki soru da (133. Soru) bu video ile
bağlantılı olacaktır. O yüzden Toraks BT ve biyopsi için yapılan işlemi
dikkatle izleyiniz)
a)
Açık
akciğer biyopsisi
b)
Tek
port VATS biyopsi
c)
Çift
port VATS biyopsi
d)
Bronkoskopi
e)
Mediastinoskopi
133.
Bir
önceki soruda (132. Soru) akciğerdeki patoloji hangisi olabilir?
a)
Akciğerin
periferik benign tümörü
b)
Spontan
pnömotoraks
c)
Diffüz
interstisiyel akciğer hastalığı
d)
Akciğer
kanseri
e)
Akciğerin
metastatik tümörü
134.
Otuzbeş
yaşında bayan hasta. Solda primer spontan pnömotoraks nedeniyle kapalı göğüs drenajı uygulandı. Bir hafta sonraki
kontrol grafisinde solda minimal pnömotoraks saptandı. Toraks BT kesiti altta
görülen hastada bundan sonraki yaklaşım ne olmalıdır?
a)
Gözlem
ve oksijen ile takip, gerekirse iğne aspirasyonu
b)
Yeniden
KGD ve sonrasında plörodez
c)
FOB
uygulamak
d)
Anterior
torakotomi
e)
VATS
135.
Aşağıdaki
büyük resimde işlemi ve küçük resimde de ameliyat spesimeni görülen akciğer
rezeksiyonunun adı nedir?
a)
Segmentektomi
b)
Lobektomi
c)
Pnömonektomi
d)
Wedge
rezeksiyon
e)
Sleeve
rezeksiyon
136.
Aşağıdaki
cerrahi işlemlerden hangisinde robotik cerrahi VATS’a göre daha avantajlı olduğu
için tercih sebebi olabilir?
a)
Plevra
biyopsisi
b)
Wedge
rezeksiyon
c)
Diyafram
plikasyonu
d)
Segmentektomi
e)
Kistotomi
+ kapitonaj
137.
Aşağıda
akciğer grafisinde yer alan lezyona hangi yolla cerrahi girişim uygun
değildir?
a)
Torakotomi
b)
Mediastinotomi
c)
VATS
d)
Robotik
cerrahi
e)
Video
yardımlı mini torakotomi
138.
Masif
hemoptizi için aşağıdaki bilgilerden hangisi yanlıştır?
a)
Bronşiyal
arter embolizasyonunun tedavide yeri vardır
b)
Etyolojiyi
aydınlatmak ve kanama lokalizasyonunu belirlemek için bronkoskopi yapılabilir
c)
Konservatif
tedaviden cevap alınamadığı ve kanamanın devam ettiği durumlarda hastayı entübe
etmek gerekebilir
d)
Kanamanın
olduğu akciğerin ilgili segmenti, lobu ya da tümü gerektiğinde rezeke
edilebilir
e)
İnoperabl
akciğer kanserli hastalarda masif hemoptizi tedavisine yaklaşımda rezeksiyonun
kesinlikle yeri yoktur
139.
Resimdeki
acil durum & müdahale yöntemi hangi şıkta doğru verilmiştir?
a)
Trakeobroşiyal
yabancı cisim & Valsalva manevrası
b)
Özofagus
yabancı cismi & Koher manevrası
c)
Özofagus
yabancı cismi & Valsalva manevrası
d)
Trakeobronşiyal
yabancı cisim & Heimlich manevrası
e)
Trakeobronşiyal
yabancı cisim & Koher manevrası
140.
Resimdeki
işleme bağlı aşağıdakilerden hangisi söylenemez?
a)
USG
eşliğinde torasentez işlemidir
b)
İşlem
kostanın üst ucundan yapılır
c)
Alınan
sıvı biyokimyasal, bakteriyolojik ve sitolojik tahlil için gönderilir
d)
Klinik
semptoma yol açan masif plevral sıvılarda plörokan ile drenaj gerekebilir
e)
Travmatik
pnömotoraks gelişebilir
141.
Araç
içi arka koltukta emniyet kemeri takılı olmadığı halde trafik kazası geçiren
hastada çekilen Toraks BT kesitinde akciğere ait hangi patoloji ya da
patolojiler mevcuttur?
a)
Pulmoner
kontüzyon
b)
Pnömotoraks
c)
Pulmoner
kontüzyon & Pnömotoraks
d)
Hemopnömotoraks
e)
Adult
Respiratuar Distres Sendromu
142.
Akciğer
kanserinde cerrahi aşağıdaki durumların hangisinde kesinlikle tercih edilmez?
a)
Küçük
hücreli ca
b)
Malign
plevral efüzyon
c)
Soliter
beyin metastazı
d)
Diyafram
invazyonu
e)
Göğüs
duvarı invazyonu
143.
Which one is not
in the Cantrell pentalogy?
a)
Omphalocele
b)
Sternal
kleft
c)
Ectopia
cordis
d)
Syndactylia
e)
Anterior
diaphragmatic hernia
144.
Aşağıdaki
patolojilerin hangisinde genellikle pnömonektomi tercih edilir?
a)
Harap
akciğer
b)
Akciğer
kanseri
c)
Bronşektazi
d)
Aspergillom
e)
Akciğere
metastaz
145.
Hangi
şıkta patoloji ve cerrahi tedavi yanlış verilmiştir?
a)
Hiperhidrozis
- Sempatektomi
b)
Özofagus
divertikülü - Divertikülektomi
c)
Travmatik
bronş rüptürü – Bronş anastomozu
d)
Perikardiyal
kist – Kist eksizyonu
e)
Travmatik
asfiksi – Trakeostomi
146.
Plevral
sıvı ile başvuran hastada torasentez yapılan yerde daha sonra tümör
saptanmıştır. Bu hastadaki patoloji öncelikle hangi organ/yapıdan kaynaklanmış
olabilir?
a)
Özofagus
b)
Akciğer
c)
Plevra
d)
Mediyasten
e)
Diyafram
147.
Alttaki
resim ve radyografinin işaret ettiği hastalıkta en çok hangi cerrahi
yaklaşım tercih edilir?
a)
Lobektomi
b)
Wedge
rezeksiyon
c)
Enükleasyon
d)
Kistotomi+kapitonaj
e)
Segmentektomi
148.
Hasta,
başka bir hastanede çektirdiği alttaki grafi ile size başvurdu. Yaklaşımınız ne
olmalıdır?
a)
Toraks
BT isterim
b)
Anamnez
alırım
c)
Sağ
yan grafi isterim
d)
Sağ
üst ikinci interkostal aralıktan KGD uygularım
e)
Bül
düşünürüm
149.
Şikayeti
bulunmayan, 39 yaşındaki erkek hastanın, fiber özofagoskopisinde 25. cm’de
submukozal lezyon saptanmış olup, mukoza normal bulunmuştur. Kısa ameliyat
videosu görülen bu hastada aşağıdaki patolojilerden hangisi bulunmaktadır?
a) Özofagus
kanseri
b) Bronkojenik
kist
c) Özofagus
leiomyomu
d) Özofagus
divertikülü
e) Nörojenik
tümör
150.
Akciğer
grafisinde aşağıda görülen lezyon saptanan hastada, bundan sonra istenecek
tetkik hangisidir?
a) Bronkoskopi
b) Transtorakal
iğne biyopsisi
c) Video-yardımlı
torakoskopik cerrahi
d) Bilgisayarlı
tomografi
e) Pozitron
Emisyon Tomografi
151.
İşlem
öncesi (ilki) ve sonrası altta akciğer filmleri altta görülen hastada hangi
patoloji vardır ve hangi işlem uygulanmıştır?
a) Akciğer
hidatik kisti & Kist drenajı
b) Plevral sıvı
& Tüp drenaj
c) Plevral sıvı
& Katater drenaj
d) Plevral sıvı
& VATS
e) Akciğer
hidatik kisti & VATS
152.
Altta
akciğer grafisi verilmiş olan tıp fakültesi 3. sınıf öğrencisi bayan hasta acil
servise sağ tarafında göğüs ağrısı şikâyeti ile başvuruyor. Ağrı uzun zamandır
varmış. Özellikle ders çalıştığı zamanlar artıyormuş. Bugünlerde masada çok
fazla oturmuş ve ağrıları artmış, Nefes alınca da batıyormuş. Tanınız nedir?
a) Myalji
b) Akciğer
hidatik kist rüptürü
c) Pektus için
takılmış bar
d) Atelektazi
e) Spontan
pnömotoraks
153.
PA Akciğer grafisi altta görülen hasta, 39
yaşında bayan. Sigara kullanmıyor. 10 gün önce öksürük, balgam çıkarma ve ateş
şikayetleri başlamış. Bu hastada öntanıda öncelikle ne düşünürsünüz?
a) Pnömoni
b) Perfore akciğer hidatik kisti
c) Akciğer kanseri
d) Pnömotoraks
e) Plörezi
154.
73
yaşında erkek hasta. Son bir aydır ses kısıklığı yakınması mevcut. 30 yıl önce
ses tellerinde nodül saptandığını ifade ediyor. 56 yıldır günde 1.5 paket
sigara içmiş. 5-6 ay önce bırakmış. Antibiyoterapi uygulanmış, şikayeti
geçmemiş. Çekilen standart akciğer filmi ve bilgisayarlı toraks tomografi
kesiti altta görülüyor. Öntanınız nedir?
a)
Vokal
kordda nodül
b)
Sarkoidozis
c)
Akciğer
kanseri
d)
Tüberküloz
e)
Soliter
pulmoner nodül
155.
36
yaşında erkek hasta. Karın ağrısı şikayeti ile gittiği merkezde çekilen
standart akciğer grafisi ve bilgisayarlı toraks tomografi kesitleri altta
görülüyor. Özgeçmişinde 20 yıl günde 1 paket sigara içimi mevcut. Bu hastada öncelikle hangi patolojiyi düşünür
ve cerrahi yaklaşımı planlarsınız?
a)
Yabancı
cisim aspirasyonu – Bronkoskopi
b)
Radyolojik
artefakt – BT tekrarı
c)
Akciğer
kanseri – VATS
d)
Akciğer
hidatik kisti – Torakotomi
e)
Akciğer
hidatik kisti – VATS
156.
Özofagus
kanser cerrahisi ameliyatında hangi kesi/girişim yöntemi kesinlikle kullanılmaz?
a)
Torakoskopi
b)
Laparoskopi
c)
Servikal kesi
d)
Laparotomi
e)
Mediyan sternotomi
157.
Nuss
ve Abramson ameliyatları hangi hastalıkta uygulanır?
a)
Hiyatal herniler
b)
Mediyastinal tümörler
c)
Göğüs duvarı deformiteleri
d)
Özofagus divertikülleri
e)
Göğüs duvarı tümörleri
158.
Malign
mezotelyomanın tedavisinde hangisinin yeri yoktur?
a)
Radikal plörektomi
b)
Kemoterapi
c)
Plöropnömonektomi
d)
Radyoterapi
e)
Göğüs duvarı rezeksiyonu
159.
Akciğer
rezeksiyonları için hangi ifade yanlıştır?
a)
Lobektomi
b)
Bilobektomi
c)
Trilobektomi
d)
Sleeve lobektomi
e)
Lobektomi + Segmentektomi
160.
Hemoptizi
– Hematemez ayırımında aşağıdaki parametrelerden hangisi kanamanın hemoptizi
olduğuna işaret eder?
a) Gaitada gizli kan testinin
pozitif olması
b) Kanamanın kahve telvesi
renginde olması
c) Kanamanın öksürükle
gelmesi ve balgamla karışık olması
d) Kanama materyalinde gıda
parçalarının olması
e) Kanamanın bulantı kusma
ile gelmesi ve asidik pH’da olması
161.
Aşağıdakilerden
hangisi anatomik olmayan rezeksiyon şeklidir?
a) Segmentektomi
b) Lobektomi
c) Pnömonektomi
d) Extended pnömonektomi
e) Wedge rezeksiyon
162.
Bir
havayolunda pilot olan 40 yaşında, astenik yapılı bir erkekte, bir ay önce sağ
tarafta pnömotoraks nedeniyle tüp torakostomi uygulanmış. Sol tarafta
pnömotoraks olan hastada çekilen hastanın toraks (BT’sinde solda üst lob apikal
segmentte bül saptandı. Kapalı göğüs drenajı uygulanan hastada 3-4 gün
geçmesine rağmen akciğer ekspanse olmuyor ve masif hava kaçağı mevcut. Cerrahi
girişim kararı veriliyor. Hangi seçenek bu kararı vermede etkili değildir?
a) Hastanın
pilot olması
b) Hastanın
40 yaşında, astenik yapılı bir erkek olması
c) Kontralateral
pnömotoraks
d) Toraks
BT’sinde bül saptanması
e) Akciğerin
ekspanse olmaması ve masif hava kaçağı
163.
Altmış
beş yaşında erkek hasta, 3 ay önce bir kalp ameliyatı geçirmiştir. Nefes
darlığı olan hastanın çekilen akciğer filminde solda plevral sıvı saptanmış.
Hastaya torasentez yapılıp sıvı boşaltılmış. İşlem sonrası çekilen film altta sağdadır. Hastaya daha sonra bir başka girişim daha uygulanmıştır. Hastanın
taburculuk öncesi çekilen akciğer grafisi de altta soldadır. Bu hasta için
aşağıdakilerden hangisi söylenemez?
a)
Hastaya
mediyan sternotomi uygulanmıştır.
b)
Hastada
kalp pili mevcuttur.
c)
Plevral
sıvı için yapılan işleme bağlı komplikasyon gelişmiştir.
d)
Hastaya
bu komplikasyon nedeniyle kapalı göğüs drenajı girişimi uygulanmıştır.
e)
Hastada
diyafram rüptürüne bağlı herniyasyon gelişmiştir.
164.
Göğüs
travması sonrası toraksın aniden ciddi sıkışması sonucu vena kava superiorda
ani ve çok yüksek basınç artımı ile oluşan, göğüs üst kısmında, kollarda, boyun
ve yüzde siyanoz, ödem ayrıca subkonjonktival kanama ile seyreden klinik tablo
nedir?
a)
Beck triadı
b)
Travmatik
asfiksi
c)
Pulmoner
kontüzyon
d)
ARDS
e)
Pulmoner
laserasyon
165.
Toraksın
cerrahi anatomisi ile ilgili aşağıdaki bilgilerden hangisi yanlıştır?
a) Akciğer sağda üç
lob, solda iki lob olup sağ üst lobun apikal, anterior ve posterior olmak üzere
üç segmenti vardır. En küçük akciğer rezeksiyonu wedge rezeksiyondur.
b) Kostalar oniki
adet olup son ikisi sternumla eklem yapmaz. Birinci kot fraktürleri ciddi göğüs
patolojileri ile birlikte olabilir.
c) Diyafragmı
innerve eden sinirin adı nervus frenikus olup kanserle atake olduğunda diyafram
paralizisi görülür.
d) Mediastenin ön
tarafında sternum, arka tarafında kolumna vertebralis olup mediastenin bütün
bölümlerinde en sık rastlanan patoloji lenfadenopatilerdir.
e) Özofagusun
serozası yoktur ve üç yerde anatomik darlık görülür. Yabancı cisimlerine
genellikle özofagusun en dar yeri olan özofagokardiyak bileşkede rastlanır.
166.
Aşağıdakilerden hangisi invaziv
tanı yöntemlerinden değildir?
a) Bronkoskopi
b) Torasentez
c) Manyetik rezonans görüntüleme
d) Torakoskopi
e)
Transtorasik ince iğne aspirasyon biyopsisi (TTİİAB)
167.
Anamnez
ve fizik muayene sonucu öntanıda akciğer kanseri düşünülen bir hastada tanıya
gidebilmek için kullanılan yöntemlerin sıralaması (algoritm) hangi seçenekte doğrudur?
a) Akciğer grafisi-
mediastinoskopi- eksploratris torakotomi
b) Balgam
sitolojisi- toraks ultrasonografisi- transtorasik iğne biyopsisi
c) Bilgisayarlı
tomografi- bronkoskopi- diagnostik torakotomi
d) Akciğer grafisi-
bilgisayarlı tomografi- bronkoskopi
e) Bilgisayarlı
tomografi- bronkoskopi- videoyardımlı torakoskopi
168.
Trakeobronşial
ve özofageal yabancı cisimlerin tedavisine yönelik ifadelerden hangisi doğrudur?
a)
Rijit özofagoskopi hastayı genel anestezi riskinden korumak için lokal anestezi
ile yapılmalıdır.
b)
Çocuklarda tedavide bronkoskopiden önce inhalasyon-postural drenaj tekniği
uygulanmalıdır.
c)
Radyografik incelemeler normal olsa bile anamnezde yabancı cisim hikayesi varsa
mutlaka endoskopi yapılmalıdır.
d)
Trakeobronşial yabancı cisimlerde emboli tedavisinde kullanılan Fogarty
kateteri kesinlikle kullanılmaz.
e)
Endoskopik çıkarmaya bağlı özofagus perforasyonu gelişirse hemen oral alım
kesilir ve konservatif tedavi uygulanır.
169.
Toraks
travması ile ilgili aşağıdaki açıklamalardan hangisi yanlıştır?
a) Diyafram rüptürü genellikle yüksekten düşme, trafik kazası gibi künt travma
sonucu olur ve sıklıkla sağ tarafta rastlanır.
b) Tansiyon
pnömotoraks, hemotoraks, kardiyak tamponad travmadan sonra şoka yol açabilen
nedenlerdendir.
c) Travmayı takiben
ampiyem, şilotoraks, erişkin respiratuar distres sendromu gelişebilir.
d)
Mediastinal amfizemde trakeobronşial ya da özofagus rüptürü akla gelmelidir.
e) Hemo ve/veya
pnömotoraksda genellikle ilk uygulanacak tedavi işlemi tüp torakostomi(kapalı
göğüs drenajı)dir.
- Yelken göğüste hangisi ölüm nedeni olamaz?
a) Paradoks solunum
b) Mediastinal kayma
c) Hipoventilasyon
d) Sağ-sol şant
e) Hipoksi
171.
Oniki
saat önce trafik kazası geçirmiş, 20 yaşlarında bir erkek hasta acil servise
başvuruyor. Hastaya akciğer grafisi çekiliyor. İleri tanı ve tedavide aşağıdaki
yaklaşımlardan hangisi doğru değildir?
a) Akciğer grafisinde multipl kot fraktürü
saptanırsa yatırılıp gözlem altına alınır. Analjezik, ekspektoran ve
profilaktik antibiyotik başlanır. Hemo ve/veya pnömotoraks gelişirse kapalı
göğüs drenajı uygulanır.
b) Sağda total kollaps saptanıyor ve drenden
masif hava kaçağı mevcut. Bronş rüptürü düşünülür ve bronkoskopi planlanır.
c) Akciğer grafisinde solda toraks içinde
hava-sıvı seviyesi gözleniyor ve oskültasyonda bağırsak sesleri alınıyor. Diyafragma
rüptürü düşünülüp toraks BT istenir.
d) Sağda hemotoraks saptanan hastaya kapalı göğüs
drenajı uygulanır. Vital bulguları normal olan hastanın 1000 cc drenajı oldu.
Hastaya acilen torakotomi uygulanır.
e) Göğüs ön duvarında yelken göğüs saptanan hasta
ileri derecede dispneik ve kan gazı değerleri kötü. Hastaya mekanik ventilasyon
desteği uygulanır.
- Torasik outlet sendromu için hangisi
yanlıştır?
a) Vasküler lezyonları olan ve ulnar sinir iletim
hızı çok düşen hastalarda tedavi cerrahidir.
b) Postoperatif fizyoterapi uygulanır.
c) Birinci kosta daima çıkarılmalıdır.
d) Kosta çıkarılırken periostu yerinde bırakılır.
e) Hafif vakalarda konservatif tedavi
(fizyoterapi, kas
gevşeticiler) uygulanır.
173.
Aşağıdaki
konjenital bronkopulmoner anomalilerden hangisine erişkinlerde rastlanmaz?
a) Pulmoner
sekestrasyon
b)
Konjenital kistik adenomatoid malformasyon
c)
Bronkojenik kist
d)
Pulmoner hipoplazi
e) Konjenital lober
amfizem
174.
Toraks
travmasına bağlı bir hemotoraksta drenajla 1200 ml kan boşaltıldıktan ve kan
replasmanı yapıldıktan iki saat sonra 1000 ml’lik bir kanama daha saptanmıştır.
Bu durumda aşağıdakilerden hangisi uygun olur?
a)
Drenaj
ve transfüzyonlara devam edilmesi
b)
Gerekli
cerrahi işlemin yapılması
c)
Hemostatik
ilaçların verimesi
d)
Daha
iyi drenaj için ikinci bir drenaj tüpü konulması
e)
Lezyonlu
hemotoraksta akciğer kollapsı sağlanarak kanamanın durdurulması
175.
Aşağıdaki
hastalıklardan hangisi torasik çıkış sendromuna neden olmaz?
a) Birinci kosta anomalisi
b) Servikal kosta
c) Akrosiyanoz
d) İnterskalen üçgenin darlığı
e)
Skalen
kasın hipertrofisi
- Primer akciğer kanserinde evrelendirme
sistemi ile oluşan standardizasyonun faydaları arasında aşağıdakilerden
hangisi yer almaz?
a) Hızlı ve güvenilir kesin tanı konulması
b) Tedavi yaklaşımının belirlenmesi
c) Tedavi sonuçlarının belirlenmesi
d) Hastalığın prognozunun izlenmesi
e) Hastaneler arasında veri transferinin
sağlanması
- Aşağıdaki toraks travmasına bağlı
patolojilerden hangisi hayatı tehdit etmez?
a) Yelken göğüs
b) Hemotoraks
c) Açık pnömotoraks
d) Tansiyon pnömotoraks
e) Travmatik asfiksi
- Aşağıdakilerden hangisi acil toraks
girişimlerinden değildir?
a) Torasentez
b) Tüp torakostomi
c) Sternotomi
d) Mediyastinotomi
e) Torakotomi
- Aşağıdakilerden hangisi primer spontan
pnömotoraksa ait komplikasyonlardan değildir?
a) Tansiyon pnömotoraks
b) Reekspansiyonu takiben gelişen pulmoner ödem
c) Pyopnömotoraks
d) Hemopnömotoraks
e)
Şilopnömotoraks
- Aşağıdaki ampiyem nedenlerinden
hangisinde dekortikasyon tedavide uygulanmaz?
a) Tüberküloz
b) Postpnömonektomi
c) Travma
d) Subdiyafragmatik apse
e)
Kist
hidatik
- Bronşektazi etyolojisinde yer alan
aşağıdaki nedenlerden hangisinde rezeksiyon kontrendikedir?
a) Pnömoni
b) Bronşiyal karsinoid tümör
c) Yabancı cisim
d) Kistik fibrozis
e) Tüberküloz
- Trakea rezeksiyonu ve rekonstrüksiyonu
endikasyonu en sık aşağıdaki hangi nedenden dolayı uygulanır?
a) Neoplazmlar
b) Travmalar
c) Entübasyona bağlı striktürler
d) Trakeomalazi
e) Akkiz trakeoözofageal fistül
- Yelken göğüsde aşağıdaki
fizyopatolojilerden hangisi mevcut değildir?
a) Kardiyak output’un düşmesi
b) Paradoksal solunum
c) Pulmoner hipertansiyon
d) Mediyastinal flatter
e) Venöz dönüşün azalması
TIPTA UZMANLIK SINAVI (TUS)’NDA SON ON BEŞ YILDA ÇIKMIŞ GÖĞÜS CERRAHİSİ İLE İLGİLİ SORULAR (2010 NİSAN – 2025 MART)
GÖĞÜS
CERRAHİSİ’NE GİRİŞ
1.
(2013
Eylül TUS sorusu)
2.
(2010
Aralık TUS sorusu)
3. (2022 Eylül TUS sorusu)
DİYAFRAM HASTALIKLARI
VE CERRAHİSİ
1.
(2017
Ağustos TUS sorusu)
2.
(2017
Nisan TUS sorusu)
3. (2020 Ekim TUS sorusu)
4. (2021 Eylül TUS sorusu)
5. (2022 Eylül TUS sorusu)
ÖZOFAGUS
HASTALIKLARI VE CERRAHİSİ
1.
(2018
Ağustos TUS sorusu)
2.
(2018
Şubat TUS sorusu)
3.
(2017
Ağustos TUS sorusu)
4.
(2017
Nisan TUS sorusu)
5.
(2016
Nisan TUS sorusu)
6.
(2016
Nisan TUS sorusu)
7.
(2015
Eylül TUS sorusu)
8.
(2015
Nisan TUS sorusu)
9.
(2014
Nisan TUS sorusu)
10.
(2014
Nisan TUS sorusu)
11.
(2014
Nisan TUS sorusu)
12.
(2013
Eylül TUS sorusu)
13.
(2013
Nisan TUS sorusu)
14.
(2012
Eylül TUS sorusu)
15.
(2010
Aralık TUS sorusu)
16.
(2010
Aralık TUS sorusu)
17.
(2010
Nisan TUS sorusu)
18.
(2010
Nisan TUS sorusu)
19. (2020 Ekim TUS sorusu)
20. (2021 Mart TUS sorusu)
21. (2021 Eylül TUS sorusu)
22. (2021 Eylül TUS sorusu)
23. (2021 Eylül TUS sorusu)
24. (2022 Mart TUS sorusu)
25. (2023 Nisan TUS sorusu)
26. (2023 Eylül TUS sorusu)
27. (2025 Mart TUS sorusu)
MUHTELİF
GÖĞÜS CERRAHİSİ KONULARI
1.
Aşağıdaki
patolojilerden hangisinin görüntülemede orta mediyastende saptanması en az
olasıdır? (2020 Şubat TUS sorusu)
a)
Lenfadeopati
b)
Bronkojenik
kist
c)
Arkus
aorta anevrizması
d)
Perikardiyal
kist
e)
Bochdalek
hernisi
2.
Perikardiyal
tamponad tanısıyla izlenen bir hastada aşağıdaki fizik muayene bulgularından
hangisinin görülmesi en az olasıdır? (2020 Şubat TUS sorusu)
a)
Akciğerlerde
bilateral orta ve bazalde raller
b)
Hipotansiyon
c)
Boyun
ven dolgunluğu
d)
Pulsus
paradoksus
e)
Kalp
seslerinin derinden gelmesi
3.
Onbeş
yaşındaki erkek hasta; göğüs ağrısı, öksürük, şeffaf sıvı ve beyaz membran
benzeri parçacıklar ekspektore etme nedeniyle başvuruyor. Özgeçmişinde herhangi
bir hastalık olmayan hastanın ailesiyle birlikte köylerinde hayvancılıkla
uğraştığı öğreniliyor. Hastanın çekilen akciğer grafisinde görülen membran
hattının hava-sıvı seviyesi üzerine çökmesiyle oluşan işarete ne ad verilir?
(2020 Şubat TUS sorusu)
a)
Menisküs
işareti
b)
Nilüfer
işareti
c)
Escudero-Nemerow
işareti
d)
Ay
işareti
e)
Çentik
işareti
4.
(2019
Eylül TUS sorusu)
5.
(2019
Şubat TUS sorusu)
6.
(2019
Şubat TUS sorusu)
7.
(2018
Ağustos TUS sorusu)
8.
(2018
Ağustos TUS sorusu)
9.
(2018
Ağustos TUS sorusu)
10.
(2018
Şubat TUS sorusu)
11.
(2018
Şubat TUS sorusu)
12.
(2018
Şubat TUS sorusu)
13.
(2018
Şubat TUS sorusu)
14.
(2018
Şubat TUS sorusu)
15.
(2018
Şubat TUS sorusu)
16.
(2017
Ağustos TUS sorusu)
17.
(2017
Ağustos TUS sorusu)
18.
(2017
Nisan TUS sorusu)
19.
(2016
Eylül TUS sorusu)
20.
(2016
Eylül TUS sorusu)
21.
(2016
Nisan TUS sorusu)
22.
(2016
Nisan TUS sorusu)
23.
(2015
Eylül TUS sorusu)
24.
(2015
Eylül TUS sorusu)
25.
(2015
Eylül TUS sorusu)
26.
(2015
Nisan TUS sorusu)
27.
(2015
Nisan TUS sorusu)
28.
(2014
Eylül TUS sorusu)
29.
(2014
Eylül TUS sorusu)
30.
(2014
Eylül TUS sorusu)
31.
(2014
Nisan TUS sorusu)
32.
(2014
Nisan TUS sorusu)
33.
(2013
Eylül TUS sorusu)
34.
(2013
Eylül TUS sorusu)
35.
(2013
Eylül TUS sorusu)
36.
(2013
Nisan TUS sorusu)
37.
(2013
Nisan TUS sorusu)
38.
(2013
Nisan TUS sorusu)
39.
(2013
Nisan TUS sorusu)
40.
(2012
Eylül TUS sorusu)
41.
(2012
Nisan TUS sorusu)
42.
(2012
Nisan TUS sorusu)
43.
(2012
Nisan TUS sorusu)
44.
(2012
Nisan TUS sorusu)
45.
(2011
Eylül TUS sorusu)
46.
(2011
Nisan TUS sorusu)
47.
(2011
Nisan TUS sorusu)
48.
(2010
Aralık TUS sorusu)
49.
(2010
Aralık TUS sorusu)
50.
(2010
Aralık TUS sorusu)
51.
(2010
Aralık TUS sorusu)
52.
(2010
Nisan TUS sorusu)
53.
(2010
Nisan TUS sorusu)
54. (2020 Ekim TUS sorusu)
55. (2020 Ekim TUS sorusu)
56. (2020 Ekim TUS sorusu)
57. (2020 Ekim TUS sorusu)
58. (2021 Mart TUS sorusu)
59. (2021 Mart TUS sorusu)
60. (2021 Eylül TUS sorusu)
61. (2022 Eylül TUS sorusu)
62. (2022 Eylül TUS sorusu)
63.
(2022 Eylül TUS sorusu)
64. (2022 Eylül TUS sorusu)
65. (2023 Nisan TUS sorusu)
66. (2023 Nisan TUS sorusu)
67. (2023 Nisan TUS sorusu)
68. (2023 Eylül TUS sorusu)
69. (2023 Eylül TUS sorusu)
70. (2023 Eylül TUS sorusu)
71. (2023 Eylül TUS sorusu)
72. (2024 Nisan TUS sorusu)
73.
(2024 Nisan TUS sorusu)
74. (2024 Nisan TUS sorusu)
75. (2024 Nisan TUS sorusu)
76. (2024 Nisan TUS sorusu)
77. (2024 Ağustos TUS sorusu)
78. (2025 Mart TUS sorusu)
79. (2025 Mart TUS sorusu)
80. (2025 Mart TUS sorusu)
81.(2025 Mart TUS sorusu)
82. (2025 Mart TUS sorusu)
83. (2025 Mart TUS sorusu)
 |
| Göğüs Cerrahisi Stajı Soru Hazinesi ve Cevap Anahtarı-Prof. Dr. İrfan Yalçınkaya |
CEVAP ANAHTARI - PROF. DR. İRFAN YALÇINKAYA
GÖĞÜS CERRAHİSİ’NE GİRİŞ
1. C
2. D
3. D
4. E
5. D
6. C
7. C
8. C
9. E
10. C
11. C
12. D
13. E
14. E
15. E
16. C
17. Bu sorunun cevabını Youtube'da araştırıp bulunuz lütfen
18. D
19. A
20. E
21. E
22. E
23. Bu sorunun cevabını internette araştırıp bulunuz lütfen
DİYAFRAM HASTALIKLARI VE CERRAHİSİ
1. D
2. A
3. D
4. E
5. A
6. E
7. E
8. C
9. D
10. D
11. B
12. C
13. E
14. E
15. B
16. A
17. C
18. A
19. C
20. D
21. C
22. C
23. E
24. D
25. C
26. A
27. E
28. C
29. E
30. C
31. B
32. D
33. E
34. D
35. D
36. D
37. C
38. C
39. D
40. B
41. C
ÖZOFAGUS HASTALIKLARI VE CERRAHİSİ
1. C
2. D
3. D
4. E
5. E
6. B
7. B
8. E
9. E
10. A
11. C
12. D
13. B
14. C
15. E
16. B
17. A
18. B
19. B
20. C
21. A
22. B
23. C
24. D
25. C
26. E
27. C
28. C
29. D
30. A
31. B
32. D
33. E
34. C
35. D
36. A
37. E
38. D
39. B
40. A
41. C
42. A
43. E
44. C
45. E
46. E
47. C
48. E
49. D
50. D
51. E
52. E
53. C
MUHTELİF GÖĞÜS CERRAHİSİ KONULARI
1. B
2. B
3. B
4. B
5. C
6. D
7. D
8. D
9. E
10. B
11. B
12. D
13. D
14. E
15. C
16. D
17. A
18. C
19. E
20. E
21. D
22. B
23. D
24. C
25. C
26. D
27. E
28. B
29. C
30. E
31. E
32. E
33. E
34. B
35. D
36. E
37. C
38. E
39. D
40. C
41. B
42. C
43. D
44. E
45. E
46. D
47. B
48. E
49. D
50. A
51. C
52. E
53. C
54. B
55. D
56. A
57. D
58. C
59. E
60. D
61. E
62. C
63. B
64. A
65. E
66. E
67. D
68. A
69. B
70. C
71. E
72. E
73. D
74. E
75. C
76. C
77. D
78. E
79. A
80. A
81. B
82. D
83. C
84. B
85. E
86. E
87. C
88. C
89. B
90. D
91. B
92. D
93. D
94. A
95. D
96. A
97. C
98. C
99. E
100. B
101. D
102. D
103. A
104. E
105. B
106. C
107. C
108. C
109. D
110. D
111. D
112. C
113. C
114. D
115. E
116. E
117. A
118. B
119. B
120. B
121. E
122. D
123. C
124. D
125. B
126. E
127. D
128. A
129. D
130. C
131. D
132. C
133. C
134. E
135. D
136. D
137. B
138. E
139. D
140. E
141. C
142. B
143. D
144. A
145. E
146. C
147. D
148. B
149. C
150. D
151. C
152. E
153. A
154. C
155. C
156. E
157. C
158. E
159. C
160. C
161. E
162. B
163. E
164. B
165. E
166. C
167. D
168. C
169. A
170. B
171. D
172. D
173. E
174. B
175. C
176. A
177. E
178. D
179. E
180. B
181. D
182. C
183. C
TIPTA UZMANLIK SINAVI’NDA ÇIKMIŞ SORULARIN CEVAPLARI
GÖĞÜS CERRAHİSİ’NE GİRİŞ
1. D
2. B
DİYAFRAM HASTALIKLARI VE CERRAHİSİ
1. B
2. D
3. D
4. B
5. C
ÖZOFAGUS HASTALIKLARI VE CERRAHİSİ
1. D
2. C
3. E
4. E
5. A
6. C
7. E (Yani bu dört seçeneğin dışındaki seçenek, zira bunların hepsi GÖR ile ilgili doğrudur)
8. E (Yani bu dört seçeneğin dışındaki seçenek, zira bunların hepsi GÖR ile ilgili doğrudur)
9. E
10. C
11. A
12. D
13. A
14. C
15. B
16. A
17. C
18. A
19. C
20. C
21. E
22. A
23. C
24. B
25. C
26. A
MUHTELİF GÖĞÜS CERRAHİSİ KONULARI
1. E
2. D
3. B
4. C
5. C
6. E
7. D
8. D
9. C
10. E
11. B
12. C
13. B
14. D
15. D
16. A
17. A
18. D
19. D
20. C
21. A
22. C
23. Kırmızı renkli ifade
24. Bu dördünün dışındaki seçenek
25. Bu dördünün dışındaki seçenek
26. Kırmızı renkli ifade
27. B
28. C
29. D
30. C
31. E
32. E
33. D
34. E
35. E
36. E
37. A
38. C
39. E
40. B
41. C
42. A
43. E
44. B
45. A
46. B
47. D
48. C
49. A
50. D
51. C
52. B
53. B
54. C
55. B
56. E
57. A
58. B
59. C
60. B
61. D
62. D
63. A
64. D
65. D
66. B
67. A
68. D
69. C
70. E
71. A
72. A
73. B
74. C
75. D
76. A
77. B